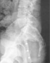
Varón de 30 años sin antecedentes de interés que acudió a nuestra consulta por una lumbalgia de un año de evolución de intensidad creciente y con mala respuesta a tratamiento con antiinflamatorios. La exploración física era anodina. La analítica completa, proteinograma y hormonas tiroideas no presentaron alteraciones relevantes. La radiografía simple de columna lumbo-sacra (fig. 1) mostró una lesión con componente predominantemente lítico en zona sacrococcígea y con evidente efecto masa a nivel presacro. Se decidió su ingreso hospitalario para completar el estudio que incluyó una resonancia magnética de pelvis (fig. 2), que confirmó una tumoración de apariencia lobulada en la zona sacrococcígea, de 14 × 9cm, asociada a una voluminosa masa de partes blandas. Se realizó una biopsia de la masa guiada por tomografía computarizada, en la que se visualizaron pequeñas calcificaciones amorfas intratumorales.
En la biopsia de la masa sacra destacó material mixoide y células multivacuoladas (células fisalíferas) (fig. 3), con positividad en el estudio inmunohistoquímico para proteína S-100 y citoqueratinas, hallazgos diagnósticos de cordoma sacro. Tras ser informado del diagnóstico y de las opciones terapéuticas que incluían sacrectomía y radioterapia, el paciente decidió trasladarse a un centro de Estados Unidos para ser intervenido.
DiscusiónEl cordoma es el tumor sacro maligno más frecuente1, representa alrededor del 4% de los tumores óseos, con una incidencia anual aproximada de 0,5 casos/ 1.000.000 habitantes/año2. Puede aparecer a cualquier edad, aunque generalmente se presenta entre la cuarta y la séptima décadas de la vida, y es más frecuente en varones (2:1)1. Se cree que se origina a partir de restos de la notocorda. Afecta al esqueleto axial, con predilección por el sacro (50%) y la base del cráneo, y es excepcional en otras localizaciones. Las manifestaciones clínicas dependen de la localización del tumor, pero en general son inespecíficas, lo que justifica el retraso entre el inicio de los síntomas y el diagnóstico, que se ha estimado en unos 12 meses de media3. Entre sus características histopatológicas destaca la presencia de células fisalíferas, así como la inmunorreactividad frente a la proteína S-100 y diversas citoqueratinas4.
Algunos estudios de cariotipificación indican que en los cordomas se producen complejos reordenamientos cromosómicos5 e incluso se han descrito casos familiares6. Recientemente7, se ha vinculado su patogenia a modificaciones en el cromosoma 7.
El tratamiento de elección es la resección quirúrgica en bloque, pero esto no es posible en muchos casos8. Así, los tumores situados en la base del cráneo suelen ser de pequeño tamaño, pero son difíciles de resecar dada su vecindad a estructuras neurológicas vitales. Por otro lado, los cordomas sacrococcígeos suelen alcanzar gran tamaño y se adhieren a los tejidos próximos, lo que impide su resección completa9. Este hecho es fundamental, ya que si los márgenes de resección no están libres de enfermedad, la recidiva es segura2. Por ello, la tasa de recurrencia local y metástasis alcanza hasta el 60% en los cordomas sacrovertebrales. Las recidivas se producen en los tejidos blandos situados alrededor del sacro, el recto, los glúteos y la región perianal2. En los estadios avanzados con gran enfermedad local pueden producirse metástasis a distancia2. La supervivencia media a los 5 años se estima en un 50-80%9. Aunque teóricamente los cordomas son radiorresistentes, en las series publicadas la radioterapia se ha demostrado efectiva, ya que disminuye las recurrencias locales en los casos de resección incompleta2,9,10 y aumenta significativamente la supervivencia9.



