Endocarditis is an uncommon but serious complication of infection by Listeria monocytogenes (L. monocytogenes). This Gram-positive facultative anaerobic intracellular bacterium often contaminates foods like fresh milk and raw fish or meat. It produces infections in certain population groups (the very elderly and newborn infants, immunocompromised patients and pregnant women1). Infections by Listeria have different clinical presentations. Endocarditis is typical in immunocompromised adults and is associated with a high mortality rate.2
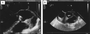
We present the case of a 36-year-old woman who presented with arthritis of her left ankle. Her history included a pregnancy that had ended in delivery 5 months earlier. Since then, she had had a recurrent fever syndrome, with polyarthralgia and distal swelling of her fingers and left ankle. Physical examination revealed arthritis in left ankle, acropachy affecting the fingers of both hands, a diastolic murmur in the aortic area and crackling rales in both lung bases. Laboratory tests showed anemia of chronic disease (hemoglobin: 9.8g/dL), elevated acute phase reactants (erythrocyte sedimentation rate: 120mm/h and C-reactive protein: 107.34mg/L), and negative autoantibody tests (rheumatoid factor, antinuclear antibodies and anti-cyclic citrullinated peptide antibodies). Musculoskeletal ultrasound confirmed the arthritis in left ankle (power Doppler signal). An echocardiogram revealed the presence of vegetation on the partially calcified, bicuspid aortic valve, partial prolapse of this valve, and severe aortic regurgitation, with no evidence of heart failure (Fig. 1). The blood cultures performed resulted in the isolation of L. monocytogenes.
The diagnosis was infective endocarditis with severe aortic regurgitation, and a 5-week regimen of treatment with ampicillin and gentamicin was initiated. After 3 weeks of antibiotic therapy, the aortic valve was replaced by a mechanical prosthetic valve, and the postoperative course was uneventful. At the present time, the patient is asymptomatic.
Endocarditis due to Listeria is more common during pregnancy, as the cellular immunity is somewhat depressed, especially during the third trimester.3 That is when bacteremia produced by this microorganism can develop. The incubation period of the disease is generally around 30 days and the clinical presentation is usually subacute, with the presence of episodic fever, arthralgia, myalgia and, only rarely, arthritis.
Our patient had a bicuspid aortic valve (a circumstance that predisposes to the development of the disease) and began to experience the first signs of infection after the delivery of her child.
Between 25% and 40% of the patients with endocarditis develop symptoms in bones and joints, in the majority of cases as the initial manifestation.4 The pathogens most frequently isolated are Staphylococcus aureus and Enterococcus.5 Arthritis is not very common and generally affects the large joints, in which the synovial fluid is usually sterile.6
The treatment of choice in endocarditis due to Listeria is ampicillin associated with gentamicin for at least 4 to 6 weeks. Valve replacement is necessary in some cases,7 particularly when the involvement of the native valve is extensive, as occurred in our patient, who presented with severe aortic regurgitation.
Please cite this article as: Gallego-Flores A, Carrasco-Cubero C, Aznar-Sánchez JJ, Chamizo-Carmona E. Artritis de tobillo y acropaquias como forma de presentación de un caso de endocarditis por Listeria monocytogenes. Reumatol Clin. 2016;12:178–179.




