La infección de tejidos blandos por Mycobacterium tuberculosis puede afectar al músculo, tendones, fascia, bursa y tejido sinovial. La bursitis trocantérea de origen tuberculoso es una entidad infrecuente, que suele afectar a pacientes inmunocomprometidos. Se manifiesta habitualmente de forma insidiosa, lo que dificulta el diagnóstico y retrasa el tratamiento. Se presenta el caso de una mujer joven, inmunocompetente, que acudió a nuestro servicio por dolor crónico de cadera izquierda. El estudio realizado confirmó el diagnóstico de bursitis trocantérea tuberculosa. Este caso demuestra la importancia de considerar el posible origen infeccioso de las bursitis en pacientes inmunocompetentes.
Soft tissue infection due to Mycobacterium tuberculosis can affect muscle, tendons, fascia, bursa and synovial tissue. Tuberculous trochanteric bursitis is a rare entity that usually affects immunocompromised patients. Manifestations usually occur insidiously, which delays diagnosis and treatment. We present the case of an immunocompetent young woman who came to our department for chronic left hip pain. The study confirms the diagnosis of tuberculous trochanteric bursitis. This case demonstrates the importance of considering a possible infectious origin of bursitis in immunocompetent patients.
Se expone el caso de una mujer de 35 años que refería dolor en región trocantérea izquierda e impotencia funcional de 6 meses de evolución. La paciente presentaba como único antecedente el contacto con una persona diagnosticada de infección tuberculosa 7 años antes del inicio de los actuales síntomas. En ese entonces, y ante la positividad de la prueba de tuberculina, en ausencia de síntomas ni alteraciones radiológicas, completó tratamiento profiláctico con isoniacida durante 6 meses, permaneciendo asintomática posteriormente y sin contactos de riesgo de TBC.
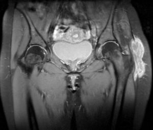
En el momento de la consulta refería dolor de características inflamatorias en la región peritrocantérea izquierda, irradiado hacia el glúteo, la región inguinal y la rodilla, con dificultad para la deambulación, sin historia de traumatismo, fiebre ni síntomas constitucionales. A la exploración se observó un aumento de partes blandas a dicho nivel, en ausencia de otros signos inflamatorios, junto a una marcada limitación a la movilización activa y pasiva de la articulación coxofemoral en todos sus planos. No presentaba afectación de otras articulaciones ni clínica respiratoria. En el control analítico se objetivó un recuento linfocitario de 13.000/μl y velocidad de sedimentación globular de 35mm en la primera hora. El Mantoux fue positivo. La radiografía de tórax fue normal. En la imagen radiológica (fig. 1) de la cadera se observó aumento de partes blandas en la región del trocánter izquierdo, sin signos de afectación ósea. Se realizaron una ecografía y una resonancia magnética de dicha cadera en las que se objetivó la presencia de bursitis trocantérea. Se realizó una punción-aspiración guiada por ecografía de la zona abscesificada y se obtuvo de material tipo caseum. El cultivo del material obtenido demostró la presencia de Mycobacterium tuberculosis (M. tuberculosis).
Tras el diagnóstico, se inició tratamiento con isoniacida, rifampicina y pirazinamida durante los dos primeros meses, seguido de una terapia combinada de isoniacida y rifampicina hasta completar 9 meses. A pesar del adecuado cumplimiento terapéutico, la paciente continuaba con dolor e impotencia funcional, por lo que 4 meses después del inicio del tratamiento tuberculostático se decidió el abordaje quirúrgico de la lesión con drenaje de la misma y bursectomía trocantérea. Un año después de completar el tratamiento, la paciente permanece asintomática.
DiscusiónLas bursas son cavidades virtuales localizadas en zonas de fricción, recubiertas por células sinoviales. La bursitis trocantérea puede ser de causa traumática, postural, infecciosa, inflamatoria, tumoral o idiopática. En los casos de etiología infecciosa, la colonización puede ser por vía hematógena o por extensión desde un foco infeccioso contiguo. Los microorganismos predominantes son los gérmenes gramnegativos, anaerobios y, de forma infrecuente, las micobacterias (sobre todo M. tuberculosis). La causa de bursitis tuberculosa en nuestra paciente permanece poco clara, pues no hay datos de diseminación hemática ni afectación local por proximidad.
La TBC extrapulmonar se suele diagnosticar tardíamente debido al bajo índice de sospecha1. Las manifestaciones osteomusculares se presentan en aproximadamente el 1-5,2% de los casos. De ellas, la artritis y la espondilitis son las formas más frecuentes, mientras que la bursitis y tenosinovitis son excepcionales2.
La TBC musculoesquéletica es más frecuente en pacientes inmunodeprimidos. El caso que presentamos se trata de una mujer inmunocompetente, que es diagnosticada de una bursitis tuberculosa años después de completar tratamiento profiláctico. Las manifestaciones musculoesqueléticas por M. tuberculosis se suelen presentar de forma insidiosa3, en ausencia de fiebre y síntomas generales. La bursitis tuberculosa puede ser un signo de reactivación de la enfermedad. El diagnóstico se suele realizar en fases avanzadas por la presencia de abscesos fríos o fístulas4. Las imágenes de tomografía computarizada o resonancia magnética ayudan a delimitar su extensión y la existencia de afectación ósea. En la literatura se han descrito casos de reactivación de TBC incluso décadas después de la terapia tuberculostática5,6. El tratamiento de las manifestaciones musculoesqueléticas en estos casos es controvertido7,8. La recurrencia alta descrita en algunas series en pacientes tratados sólo con tuberculostáticos, hace que el abordaje quirúrgico deba considerarse en todos los pacientes. En aquellos casos con afectación trocantérea extensa, se recomienda retrasar la cirugía varias semanas mientras que el paciente recibe tratamiento tuberculostático para reducir el riesgo de diseminación de la micobacteria durante la intervención quirúrgica4, tal y como se realizó en el caso que se presenta.
En conclusión, este caso ilustra cómo la bursitis tuberculosa se puede presentar de forma aislada, sin otras manifestaciones sistémicas ni musculoesqueléticas y, por tanto, debe considerarse dentro del diagnóstico diferencial de las trocanteritis.
Conflicto de interesesLos autores declaran no tener ningún conflicto de intereses.




