El síndrome del túnel carpiano puede manifestarse con lesiones cutáneas. Estas pueden plantear el diagnóstico diferencial con una vasculitis. El compromiso del sistema nervioso simpático perivascular y los traumatismos a repetición secundarios a la hipoestesia son probablemente parte del mecanismo de daño. En este caso, se plantea además el papel patogénico de una arteria mediana remanente asociada a nervio mediano bífido.
Carpal tunnel syndrome may present with skin lesions. This may lead to a differential diagnosis with vasculitis. Sympathetic nervous system perivascular involvement and recurrent injuries secondary to sensory loss are probably part of the mechanism of injury. In this case, we also comment on the pathogenic role of persistent median artery associated with a bifid median nerve.
Las manifestaciones clínicas del síndrome del túnel carpiano (STC) son conocidas: los signos subjetivos (parestesias, alteraciones de la propiocepción, paresia) se asocian a signos objetivos (alteraciones de la sensibilidad y de la motricidad, positividad de las pruebas de Tinel y de Phalen, y a veces atrofia de la eminencia tenar). La mayor parte de los pacientes se maneja con tratamiento médico o quirúrgico en función de la clínica, de los resultados de la electromiografía y de la evolución. En algunos casos, la presentación puede ser atípica y los cambios tróficos secundarios a un compromiso severo pueden hacer plantear otros diagnósticos.
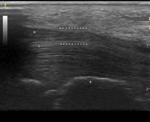
Observación clínicaMujer de 84 años, hipertensa controlada, presentaba desde hace 2 meses lesiones cutáneas en ambas manos de tipo vasculítico asociadas a cianosis del 1.er, 2.° y 3.° dedos, y a dolor intenso que motivaron hospitalización en urgencia por sospecha de vasculitis sistémica. En la anamnesis dirigida, no había elementos de conectivopatía ni consumo de drogas. Recibía enalapril para tratar su hipertensión arterial. En el examen físico destacaban lesiones periungueales, en pulpejos, indicativas de vasculitis, pero llamaba la atención su distribución dermatómica, la severa hipoestesia asociada en el mismo territorio y la importante atrofia de la eminencia tenar, de manera bilateral (fig. 1). El resto del examen era normal; en particular, no había lesiones cutáneas en otras localizaciones y su tensión arterial era normal. Se realizó estudio: hemograma y velocidad eritrocitaria de sedimentación normales, función renal y orina completa normales, factor reumatoideo negativo, anticuerpos antinucleares negativos, perfil ENA detallado negativo, ANCA c y p negativos. La paciente refería de alteraciones de la sensibilidad con parestesias nocturnas y falta de fuerza en manos con tiempo de evolución prolongado, por lo que ya había consultado. Se había hecho el diagnóstico de STC, realizándose una electromiografía de extremidades superiores un año antes. Esta mostraba ya un severo atrapamiento de ambos nervios medianos a nivel de los túneles carpianos, con denervación completa de las eminencias tenares. Se realizó estudio ultrasonográfico de la paciente evidenciando a la entrada del túnel a nivel del pisiforme, un nervio mediano derecho de 17mm2 de área (normal=± 10mm2)1,2 (fig. 2), con presencia central de una arteria mediana remanente (fig. 3). El nervio mediano izquierdo estaba también engrosado, con un área nivel del pisiforme de 18mm2. Ambos nervios aparecían atrapados en el túnel carpiano en los cortes longitudinales (fig. 4).
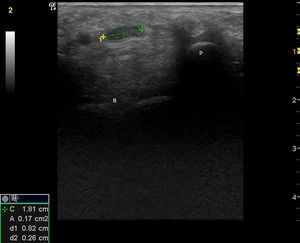
Corte transversal del nervio mediano derecho a nivel de la entrada del túnel del carpo, con medición del área del nervio con elipse (0,17cm2), a nivel del pisiforme P (B: hueso grande). (Imagen obtenida con ecógrafo General Electrics LOGIC e, con un transductor linear de 8-12 mHz usando para esta imagen una frecuencia de 12 mHz y un agrandamiento máximo).
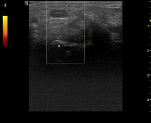
Corte transversal del nervio mediano en el túnel carpiano: arteria mediana remanente. (Imagen obtenida con ecógrafo General Electrics LOGIC e, con un transductor linear de 8-12 mHz, usando el Doppler de potencia con una frecuencia de 5,0MHz, ganancia de 12, PRF DE 1,2 hHz y filtro de pared de 180Hz).
Las lesiones cutáneas tienen una localización según el territorio cutáneo del nervio mediano ya que, como se reporta en la literatura, se puede ver en el STC severos un compromiso del sistema nervioso simpático perivascular según esa distribución3–5. En esta paciente además, la presencia de una arteria mediana remanente, variante anatómica poco frecuente6 y que en general se asocia más a nervio mediano bífido, puede indicar una mayor repercusión de la compresión de las estructuras a nivel del túnel, afectando aún más a la vascularización de los tejidos. Se han descrito también fenómenos de trombosis y oclusión de la arteria remanente como factores gatillantes en STC7,8. En el caso presentado se encontró arteria remanente unilateralmente; podemos suponer que si existió bilateralmente se haya ocluido, aumentando la sintomatología. La hipoestesia severa agrega la posibilidad de presentar lesiones traumáticas asociadas9,10. Es importante poder realizar el diagnóstico, ya que una solución quirúrgica, liberando el nervio a nivel del retináculo podría revertir las lesiones, impidiendo complicaciones severas. Esta presentación clínica con cambios tróficos en un STC severo de largo tiempo de evolución es poco frecuente en la actualidad, ya que la mayor parte de los pacientes acceden rápidamente a un tratamiento adaptado.
ConclusionesFrente a un paciente con sospecha de vasculitis sistémica pero con compromiso únicamente de manos, debe realizarse el diagnóstico diferencial con un STC severo y lesiones tróficas secundarias, ya que el manejo es muy diferente y el uso de corticoides e inmunosupresores no aportaría ningún beneficio en este caso.







