La calcifilaxis ha sido definida como una sensibilidad a la calcificación de los tejidos, descrita primariamente en pacientes con insuficiencia renal crónica, trasplante renal o disfunción de glándulas paratiroides. Existen pocos casos descritos de pacientes con artritis reumatoide, sin insuficiencia renal, ni disfunción paratiroidea. Nosotros presentamos otro caso en una mujer con artritis reumatoide inactiva.
Calciphylaxis has been defined as tissue sensitivity to calcification, described mainly in patients with chronic renal insufficiency, renal transplant, or parathyroid dysfunction. There are few cases described in patients with rheumatoid arthritis that do not suffer from renal failure or hyperparathyroidism. Another case is presented of calciphylaxis in a woman with inactive rheumatoid arthritis.
La calcifilaxis ha sido definida como una sensibilidad a la calcificación de los tejidos, afectando a vasos de pequeño y mediano tamaño, especialmente en la piel, causando necrosis1. Este raro fenómeno ha sido descrito predominantemente en mujeres obesas, con insuficiencia renal crónica, en diálisis (90% de los casos), con trasplante renal o disfunción de las glándulas paratiroideas, hiperparatiroidismo primario, linfoma, leucemia y mieloma múltiple2–5. No existen muchos datos en caso de artritis reumatoide en ausencia de insuficiencia renal e hiperparatiroidismo1,6–9.
Objetivo: Presentación de un caso de calcifilaxis con artritis reumatoide inactiva sin insuficiencia renal ni hiperparatiroidismo.
CasoMujer de 52 años de edad, admitida en nuestro servicio con artritis reumatoide no erosiva, seropositiva, no nodular (criterios ACR 1987) de 5 años de evolución. En 2011 fue hospitalizada por lesiones ampollares, eritematosas y necróticas en su pierna izquierda. En el examen físico se observaron escaras necróticas en la pierna izquierda (fig. 1). La paciente presentaba una artritis reumatoide inactiva, el resto del examen físico fue normal.
En el momento de la hospitalización tenía el siguiente tratamiento: metotrexate 15mg/semana, leflunomida 20mg/día, prednisona 4mg/día y ácido fólico 1mg/día, calcio+vitamina D. En el laboratorio de admisión el calcio y el fosfato sérico eran normales, así como hemocultivos, urocultivos, serología para hepatitis B y C eran negativos. La radiografía de tórax no mostró anormalidades. Dos eco-Doppler color de miembro inferior izquierdo descartaron la presencia de trombosis arterial o venosa.
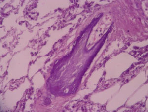
Se realizó una biopsia de la piel de la cara anterior de la pierna izquierda que evidenció la presencia de calcificaciones de la pared vascular y trombosis de la luz endovascular, hallazgos compatibles con calcifilaxis (fig. 2). Los cultivos de la biopsia descartaron la presencia de hongos, micobacterias y otros gérmenes.
La paciente respondió favorablemente al tratamiento local y cuidados generales, y sin recurrencias hasta la fecha.
DiscusiónLa calcifilaxis debería considerarse una vasculopatía con proliferación intimal y fibrosis asociada a deposición de calcio generalizada o localizada junto con inflamación y esclerosis1. A diferencia de la calcinosis o metástasis cálcicas, que también pueden encontrarse en pacientes con insuficiencia renal o colagenopatías, pero no se asocia a fibrosis endoluminal, isquemia y trombosis como puede observarse en la calcifilaxis10.
El verdadero síndrome de calcifilaxis se caracteriza por presentar tres fases: 1) sensibilización producida por agentes movilizadores del calcio como la vitamina D, hormona paratiroidea o nefrectomía bilateral; 2) período crítico, momento de latencia entre la sensibilización y la inducción de calcifilaxis, y 3) agentes inductores, que si son aplicados localmente, la respuesta será en la piel o el tejido subcutáneo (calcifilaxis local), pero si son aplicados en forma parenteral se desencadenará una respuesta en diferentes órganos11.
Existen 2 patrones de distribución clínica: una central, la más frecuente, afectando el tronco con una mortalidad del 86%, y una periférica que compromete miembros y el pene con una mortalidad del 32%1,12. La distribución de las lesiones en nuestra paciente fue periférica, teniendo una artritis reumatoide inactiva, sin insuficiencia renal o hipercalcemia aunque estaba medicada con sensibilizadores como el calcio y la vitamina D e inductores como los glucocorticoides y el metotrexate. La trombosis fue descartada como causa de las lesiones al igual que la hepatitis B y C. La biopsia no mostró el típico trombo del síndrome antifosfolípidos. La presencia de múltiples calcificaciones en la pared de los pequeños y medianos vasos fue concluyente para el diagnóstico.
En estos pacientes la mortalidad por sepsis es alta. El tratamiento consiste en cuidados locales, corrección del medio interno y una correcta hidratación y nutrición12.
La calcifilaxis de origen no urémico asociada a otras enfermedades del tejido conectivo han sido raramente descritas, existiendo solo 2 casos de calcifilaxis y arteritis de células gigantes13.
Dado que la calcifilaxis es uno de los simuladores de vasculitis, esta debería considerarse como diagnóstico diferencial de vasculitis, embolia de cristales de colesterol, mixoma auricular, amiloidosis, endocarditis, necrosis cutánea por cocaína, necrosis cutánea inducida por warfarina, enfermedad de Buerger, paniculitis, linfoma angiotrópico, síndrome antifosfolipídico, síndrome hipereosinofílico, vasculitis inducida por levamisol, enfermedad de Degos, púrpura trombótica trombocitopénica, entre otras causas de necrosis cutánea14,15. Existiendo 5 casos similares descritos en la literatura1,6–8, habiendo sido, uno de ellos, descrito por nuestro grupo9, creemos importante considerar este diagnóstico como una potencial complicación en artritis reumatoidea y diferenciarlo de otras causas de necrosis cutánea.
Si bien es más frecuente la observación de calcifilaxis en pacientes con insuficiencia renal en diálisis y/o trastornos del metabolismo fosfocálcico, la descripción de esta enfermedad en 5 pacientes con artritis reumatoidea, algunos de ellos sin insuficiencia renal ni alteraciones del metabolismo fosfocálcico, nos alerta en cuanto a tener presente esta entidad en pacientes con artritis reumatoide y lesiones cutáneas necróticas. Teniendo en cuenta la mala evolución de estos pacientes, el diagnóstico es fundamental para comenzar el tratamiento.
Responsabilidades éticasProtección de personas y animalesLos autores declaran que para esta investigación no se han realizado experimentos en seres humanos ni en animales.
Confidencialidad de los datosLos autores declaran que han seguido los protocolos de su centro de trabajo sobre la publicación de datos de pacientes.
Derecho a la privacidad y consentimiento informadoLos autores declaran que en este artículo no aparecen datos de pacientes.
FinanciaciónLos autores no han recibido ningún tipo de financiación para la realización de este trabajo.
Conflicto de interesesLos autores declaran no tener ningún conflicto de intereses.





