El estudio del incremento de la creatinina fosfoquinasa (CPK) constituye un motivo de consulta frecuente en diversas especialidades médicas. Entre las enfermedades que cursan con CPK alta se encuentran las miopatías metabólicas siendo la enfermedad de McArdle la glucogenosis muscular más frecuente. Presentamos 2 casos clínicos de pacientes derivados a nuestro servicio de reumatología para estudio de CPK elevada cuyo diagnóstico final fue enfermedad de McArdle: un hombre de 72 años, asintomático desde el punto de vista muscular, en el que se objetivó de manera casual elevación importante de CPK en una analítica de rutina y una mujer de 30 años con síntomas musculares muy leves. El electromiograma (EMG) fue normal en ambos pacientes. En ninguno de los 2 casos existía actividad de la miofosforilasa en la biopsia muscular, siendo diagnosticados de enfermedad de McArdle.
A high serum level of creatine kinase (CK) is a common reason for referring to medical specialities. Myopathies are one of the causes of elevated levels of CK. McArdle disease is the most common disorder of skeletal muscle carbohydrate metabolism. The cases are presented on 2 patients who were referred to our medical consultation to study the cause of their increased CK levels: a 72 year old asymptomatic man with high levels of CK detected by chance in a routine analysis, and a 30 year old woman with very few symptoms, apart from slight muscle pain and tiredness. Electromyography was normal in both patients. There was null activity of myophosphorylase in muscle biopsy of both cases, so a diagnosis of McArdle disease was made.
La elevación de creatina fosfoquinasa (CPK) constituye un motivo de consulta frecuente en reumatología, neurología y medicina interna. Las miopatías metabólicas representan el 41% de los diagnósticos dentro de la hiperCKemia asintomática o paucisintomática1.
La enfermedad de McArdle (también conocida como enfermedad por almacenamiento de glucógeno tipo V), es una miopatía metabólica causada por la deficiencia de la enzima miofosforilasa2. Clínicamente se caracteriza por intolerancia al ejercicio físico, fatigabilidad fácil, contracturas musculares dolorosas y en un 50% de los casos, puede producirse mioglobinuria, rabdomiolisis y fracaso renal agudo3,4. El diagnóstico se basa en la elevación en el contenido de glucógeno y la reducción de la actividad de la enzima en la biopsia de tejido muscular5.
Aunque no existe actualmente tratamiento específico para esta enfermedad, se puede mejorar la calidad de vida de los pacientes y evitar la rabdomiolisis y el fracaso renal con una dieta adecuada y controlando la actividad física3.
Presentamos 2 casos clínicos de pacientes estudiados en nuestro servicio por elevación de CPK cuyo diagnóstico final fue enfermedad de McArdle.
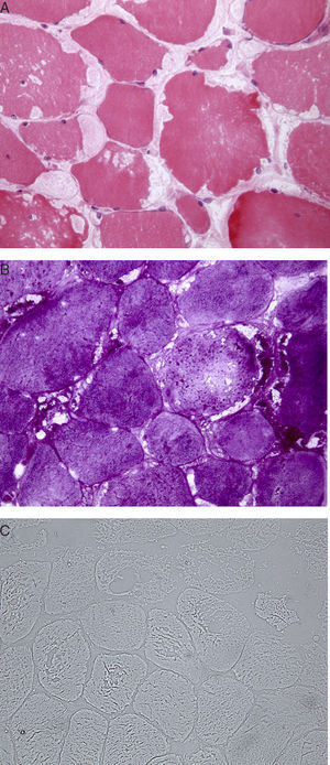
Observación clínicaCaso clínico 1. Varón de 72 años que realiza controles periódicos en consultas de reumatología por enfermedad de Paget. Asintomático desde el punto de vista muscular, en analítica de rutina se objetiva de forma casual CPK elevada con progresión ascendente en análisis posteriores, llegando a alcanzar cifras de 5.000UI/l. Presenta además valores de aldolasa ligeramente elevados, con enzimas hepáticas y perfil tiroideo sin alteraciones y pruebas de autoinmunidad negativas. A la exploración física el balance muscular es normal. Se solicita electromiograma (EMG) donde no se objetivan datos de afectación miopática. La resonancia nuclear magnética (RNM) de la cintura escapular evidencia atrofia y reemplazamiento con tejido graso en múltiples músculos de forma bilateral (fig. 1A y 1 B). Se decide realizar biopsia del músculo deltoides dada la afectación observada en la RNM a ese nivel. En el estudio anatomopatológico se evidencian vacuolas subsarcolémicas de glucógeno (fig. 2A y 2B). La histoquímica revela ausencia total de miofosforilasa, compatible con enfermedad de McArdle. En el estudio genético se observa la mutación nonsense Y733X en el exón 18 del gen PYGM, en homocigosis. Se deriva al paciente al servicio de endocrinología-nutrición.
A) Múltiples vacuolas claras de contenido granular eosinófilo y localización subsarcolémica. B) Tinción de ácido periódico de Schiff (PAS) que demuestra la presencia de depósitos granulares PAS positivos de glucógeno en el interior de las vacuolas. C) Ausencia de miofosforilasa en el estudio histoquímico.
Caso clínico 2. Mujer de 30 años sin antecedentes clínicos de interés, derivada desde atención primaria para estudio de elevación persistente de CPK (valor máximo 4.000UI/l). Clínicamente refiere astenia y sensación de leve pérdida de fuerza en miembros inferiores tras el ejercicio físico intenso. A la exploración física el balance muscular es normal. Se realiza EMG donde no se evidencian datos de miopatía. Analíticamente destaca elevación de CPK con perfil hepático, aldolasa, LDH y autoinmunidad normal. Se objetiva leve alteración en hormonas tiroideas, siendo diagnosticada de hipotiroidismo subclínico que no precisa tratamiento. Dado que la CPK continúa elevada en controles analíticos posteriores, se solicita biopsia muscular. Se decide realizar el estudio del músculo cuádriceps guiados por la clínica que refiere la paciente de debilidad en miembros inferiores tras los esfuerzos físicos intensos. En la biopsia se objetivan múltiples vacuolas claras de contenido granular eosinófilo y localización subsarcolémica. Además, en el estudio histoquímico no existe actividad de la enzima miofosforilasa, siendo por tanto compatible con enfermedad de McArdle (fig. 2C). No se realizó estudio genético. Se deriva a la paciente al servicio de endocrinología-nutrición.
DiscusiónLa enfermedad de McArdle, descrita por primera vez en 1951 por Brian McArdle6–8, es la glucogenosis muscular más frecuente y una de las miopatías genéticas más comunes3. A pesar de ello, está considerada por su baja frecuencia dentro del grupo de las «enfermedades raras» (existen 239 casos registrados en España hasta 2012)9. Su prevalencia en España se estima en 1/167.0008. Se trata de un trastorno causado por mutaciones autosómicas recesivas en el gen de la miofosforilasa (PYGM) situado en el cromosoma 113,8,10. Esta enzima interviene en el primer paso del metabolismo del glucógeno en el músculo esquelético, siendo necesaria para convertir este polisacárido en glucosa-1-fosfato, y por tanto, su deficiencia impide la obtención de energía desde los depósitos musculares de glucógeno3,8.
Clínicamente se caracteriza por intolerancia al ejercicio con mialgias, rigidez y calambres musculares3. Después de esfuerzos intensos puede aparecer mioglobinuria hasta en la mitad de los casos y fracaso renal agudo2,3,5,8. Presenta una característica patognomónica conocida como el fenómeno del «second wind» que consiste en que el paciente experimenta una mejor tolerancia al ejercicio físico una vez transcurridos los primeros 10 minutos2,3,11. Los síntomas suelen presentarse en la adolescencia o juventud (la paciente de nuestro segundo caso comenzó con fatigabilidad y mialgias a los 30 años)2,3,7,8. No obstante, se describe considerable heterogeneidad en la gravedad de las formas de presentación, desde una miopatía congénita, en la que no hay prácticamente síntomas, como sucedió en el caso del primer paciente, hasta una variante de curso fatal que aparece en la infancia2,3,5. También se han descrito casos de presentación tardía que cursan con atrofia muscular y debilidad de predominio proximal3,7,12,13.
Analíticamente se caracteriza por la elevación de los niveles de CPK (incluso en periodos intercríticos)2,3,5. El EMG puede ser normal o evidenciarse datos de miopatía5. Si se realiza el test de isquemia de antebrazo se observa una curva plana para el ácido láctico, indicativa del fallo de la degradación de glucógeno a lactato5,14. En las pruebas de imagen, tanto en TAC como en RNM, puede aparecer atrofia y sustitución del músculo por infiltrados grasos, especialmente en los casos de presentación tardía como sucedió en nuestro primer paciente12,15. El diagnóstico definitivo se basa en la biopsia de músculo y en la posterior observación por inmunohistoquímica de ausencia de la miofosforilasa3,5. Los hallazgos histológicos se caracterizan por la presencia de vacuolas subsarcolémicas constituidas por glucógeno que se pueden reconocer mediante tinción PAS3. Actualmente se recomienda completar el diagnóstico mediante estudio genético3,5,6,8.
El tratamiento se basa en el control de la actividad física y medidas dietéticas3,16. Es importante seguir una dieta con alto contenido en hidratos de carbono (65%) y baja proporción de grasas (20%) así como indicar a los pacientes la necesidad de ingerir hidratos de carbono simples 5 minutos antes de realizar ejercicio2,3,5,11,16. Se ha demostrado que la actividad física moderada y regular aumenta la tolerancia al ejercicio en estos pacientes3,17,18.
Se concluye que, en pacientes con CPK elevada, con independencia de la edad y gravedad de la afectación muscular, al hacer el diagnóstico diferencial debe incluirse la enfermedad de McArdle.
Responsabilidades éticasProtección de personas y animalesLos autores declaran que para esta investigación no se han realizado experimentos en seres humanos ni en animales.
Confidencialidad de los datosLos autores declaran que han seguido los protocolos de su centro de trabajo sobre la publicación de datos de pacientes.
Derecho a la privacidad y consentimiento informadoLos autores declaran que en este artículo no aparecen datos de pacientes.
Conflicto de interesesLos autores declaran no tener ningún conflicto de intereses.
A la doctora Carmen Navarro por su contribución a este trabajo.





