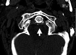
Axial skeleton affection due to chondrocalcinosis has been associated to calcium deposits in the intervertebral disc, the yellow ligament, the fact joints and even the sacroiliac joints. Calcification of the transverse ligament of the atlas (Figs. 1–3) is an infrequent manifestation and has been denominated the Crown Dens syndrome. It mostly constitutes an asymptomatic clinical picture but may be associated with episodes of acute cervical pain, stiffness and fever, with the added diagnostic difficulties of these cases.
We present the case of an 82-year-old woman who consulted us due to intense cervical pain which responded poorly to analgesics. She had a history of atrial fibrillation undergoing anticoagulation therapy, spondyloarthritis and radiologic chondrocalcinosis of the knees. Physical examination revealed spontaneous pain on the cervical spine, radiating to the occipital and mastoid regions, with stiffness and movement limitations due to pain, with no neurologic manifestations.
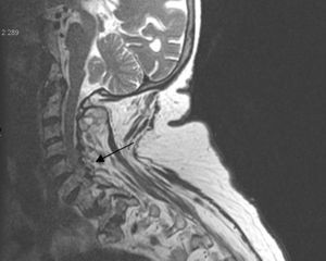
X-ray studies show cervical spondyloarthritis and calcification of the transverse ligament of the atlas and winged ligaments of the atlas-axis joint (Fig. 4).
The Crowned Dens syndrome was described initially in 1985 by Bouvet et al.1,2 Diagnosis is based on the association of a compatible clinical picture and imaging findings, mainly calcium deposits in atlas-axis joint ligaments, visible on CT.3,4
Knowledge of this entity is important in certain cases in which it may be difficult to perform a differential diagnosis with neurological infections, polymyalgia rheumatic, giant cell arteritis, etc.
Please cite this article as: Peñas Martínez E, et al. Calcificación del ligamento transverso del atlas: síndrome de Crowned Dens. Reumatol Clin. 2012;8(1):48–9.
 
										
				









 
 
		
