El pilomatrixoma (PM), pilomatricoma o epitelioma calcificado de Malherbe es un tumor benigno de la piel que deriva del folículo piloso. Habitualmente, se presenta en niños y adolescentes como un tumor único en la parte superior del cuerpo y su etiología es desconocida. En este sentido, se ha descrito asociado a traumatismos y múltiples enfermedades, sin una clara relación causal1. Nosotros presentamos el primer caso descrito de una niña diagnosticada de artritis idiopática juvenil (AIJ) que ha desarrollado un PM en la zona de la punción del tratamiento con metotrexato subcutáneo y hacemos una revisión de la literatura.
Niña diagnosticada en el año 2007 de AIJ, a los 3 años de edad, por la presencia de monoartritis crónica idiopática y padre con psoriasis cutánea. Ha recibido tratamiento con infiltración local de corticoides en 2 ocasiones y, posteriormente, ante la persistencia de actividad de la enfermedad se le ha prescrito tratamiento con metotrexato subcutáneo semanal en el año 2008. Actualmente, la enferma tiene una edad de 7 años y se encuentra en tratamiento con metotrexato subcutáneo semanal (15 mg/0,3ml), encontrándose clínicamente asintomática y realizando una vida normal. En el último control refirió que, en relación con la punción del metotrexato subcutáneo, presentó una lesión nodular de aspecto quístico. Dicha lesión fue tratada con frío local, sin observar mejoría. Posteriormente, ha ido aumentando de tamaño, haciéndose de consistencia más dura y dolorosa a la palpación. En la exploración presentaba una lesión subcutánea de consistencia dura y superficie irregular en la cara lateral externa del brazo izquierdo, de unos 2cm de diámetro mayor, dolorosa a la palpación, no adherida a los planos profundos y recubierta de una piel de color violáceo. Se realizó una interconsulta con Dermatología que, ante la sospecha de reacción a cuerpo extraño versus PM, decide exéresis de la lesión y estudio anatomopatológico. El resultado anatomopatológico confirmó el diagnóstico de PM (fig. 1A y B).
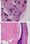
A) Tumoración de la matriz pilosa bien delimitada, no encapsulada. Proliferación celular en la que se distinguen lóbulos formados por células de aspecto basaloide, queratinización y calcificaciones distróficas (hematoxilina-eosina). B) A mayor detalle, proliferación de células epitelioides basófilas que sufren una queratinización abrupta y presencia de células eosinófilas llamadas células fantasma (hematoxilina-eosina).
El PM es un tumor benigno bien delimitado, que se localiza en la dermis inferior y se extiende hasta el tejido celular subcutáneo. Está formado por islotes irregulares de células epiteliales, unas basófilas que tienden a localizarse en la periferia y presentan escaso citoplasma y núcleos hipercromáticos y otras eosinófilas llamadas «células fantasma o sombra», cuyo núcleo no se tiñe. El estroma presenta una reacción a cuerpo extraño con células gigantes, focos de calcificación y áreas de osificación2. En el año 2005 se ha descrito un caso de PM en relación con la vacunación por BCG3. Posteriormente, Malpathak et al. describieron la formación de un PM gigante después de una inyección intramuscular. En este caso, los autores postulan que el traumatismo local y el desarrollo de hematoma podrían llevar a la supresión de la apoptosis y, por tanto, a la formación de PM4. Nuestro caso muestra una clara relación temporal con la inyección subcutánea de metotrexato, hecho no descrito en la literatura. El traumatismo ocasionado en la punción subcutánea o el líquido inyectado pudiera actuar como factor gatillo favorecedor del desarrollo del PM. El incremento del uso de las diferentes terapias subcutáneas usadas en la AIJ debiera alertar a los médicos que tratan estos pacientes para el desarrollo de PM.




