Adolescente con displasia progresiva seudorreumatoide, desorden autosómico recesivo que puede ser diagnosticado inicialmente como artritis idiopática juvenil.
We present the case of a teenage patient with progressive pseudorheumatoid dysplasia, an autosomal recessive disorder that may be initially misdiagnosed as juvenile idiopathic arthritis.
La displasia progresiva seudorreumatoide (DPSR) es un desorden esquelético hereditario no inflamatorio, autosómico recesivo asociado al gen WISP3. Presenta dolor y derrame articular que involucra progresivamente caderas, rodillas, carpos y dedos. La disminución en la movilidad articular y las múltiples contracturas articulares dan como resultado discapacidad severa.
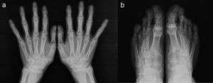
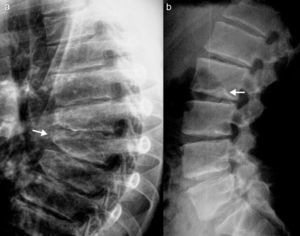
Reporte de casoPaciente varón de 17 años de edad; a los 13 años presentó dolor de cadera derecha y de rodilla izquierda. Cinco meses más tarde presentó inflamación de ambas rodillas y de interfalángicas de la mano derecha. El paciente refirió historia de dificultad al caminar desde los 3 años de edad. El examen físico mostró un adolescente con marcha anormal, escoliosis espinal y cifosis de la columna torácica. La movilidad de la columna lumbar, coxofemorales, rodillas, tobillos e interfalángicas de la mano derecha estaba severamente limitada. Las radiografías de manos y pies (fig. 1a y b), caderas y rodillas (fig. 2a y b) revelaron osteopenia difusa, ensanchamiento tubular de las epífisis y pérdida del espacio articular, sin lesiones erosivas; las radiografías de cadera y rodillas mostraron además cambios degenerativos, con cabezas femorales ensanchadas. Las vértebras torácicas y lumbares, con vértebras aplanadas e irregularidades en las mesetas vertebrales (fig. 3a y b). La proteína C reactiva y la velocidad de sedimentación globular eran normales.
La DPSR simula clínicamente una artritis idiopática juvenil en etapas tempranas1,2; sin embargo, las evidencias que establecen el diagnóstico de esta displasia ósea son la afectación articular no inflamatoria y los hallazgos radiológicos característicos, como la presencia de epífisis ensanchadas, osteoporosis generalizada y platispondilia3.
Esta enfermedad es causada por las mutaciones del gen WISP 3, esencial para el crecimiento normal del esqueleto posnatal y la homeostasis del cartílago articular4. Por lo tanto, en contraste con la mayoría de las displasias esqueléticas, el crecimiento esquelético prenatal y la morfogénesis no se alteran en la DPSR y los individuos afectados son asintomáticos durante los primero años de vida. Posteriormente, los pacientes presentan pérdida progresiva del cartílago articular y cambios degenerativos severos4,5.
Responsabilidades éticasProtección de personas y animalesLos autores declaran que para esta investigación no se han realizado experimentos en seres humanos ni en animales.
Confidencialidad de los datosLos autores declaran que en este artículo no aparecen datos de pacientes.
Derecho a la privacidad y consentimiento informadoLos autores declaran que en este artículo no aparecen datos de pacientes.
Conflicto de interesesLos autores declaran no tener ningún conflicto de intereses.






