Aunque las vasculitis asociadas a ANCA tienen manifestaciones clínicas diversas, la afección valvular es infrecuente, especialmente en el contexto de una poliangeítis microscópica. Reportamos el caso de una mujer de 38 años con vasculitis ANCA con características clínicas de poliangeítis microscópica y anticuerpos anti-mieloperoxidasa positivos (MPO), que presentó una masa vegetante en la válvula mitral que resolvió con inmunosupresión.
Although antineutrophil cytoplasmic antibody (ANCA) vasculitis has a variety of clinical manifestations, valvular compromise is not common, especially in anti-myeloperoxidase (anti-MPO) antibody (perinuclear [P]-ANCA) vasculitis. We report the case of a 38-year-old woman with ANCA-associated vasculitis who was diagnosed with valve vegetation, that resolved with immunosuppressive therapy.
La afección valvular en las vasculitis asociadas a anticuerpos contra el citoplasma de los neutrófilos (ANCA) es infrecuente, sin embargo, hay cerca de 20 casos reportados en la literatura, la mayoría de ellos en el contexto de granulomatosis con poliangeítis y c-ANCA. Las endocarditis infecciosas y las vasculitis asociadas a ANCA pueden tener manifestaciones clínicas similares, entre estas: púrpura, glomerulonefritis, afección pulmonar y ocular, elevación de reactantes de fase aguda y fiebre; lo que dificulta el diagnóstico y la instauración del tratamiento apropiado. Adicionalmente, los ANCA pueden estar presentes como epifenómeno en la endocarditis lo cual puede incrementar la confusión diagnóstica. A continuación describimos el caso de una paciente con endocarditis no infecciosa y vasculitis asociada a ANCA que por las características clínicas y los autoanticuerpos se comportó como una poliangeítis microscópica, y que resolvió con inmunosupresión sin requerir reemplazo valvular.
CasoMujer de 38 años previamente sana que consultó por anasarca, a su ingreso se documentó hipertensión arterial y elevación progresiva de la creatinina (incremento de 1mg/dl a 6mg/dl en un mes). Los anticuerpos antinucleares fueron negativos, el complemento fue normal y no se demostraron infecciones. Se encontró positividad para ANCA por inmunofluorescencia indirecta (IFI) con títulos de 1:160 patrón P y los ANCA por ELISA anti-mieloperoxidasa también fueron positivos. La biopsia renal demostró glomerulonefritis necrosante focal y segmentaria con proliferación extracapilar (semilunas fibrocelulares 30%) pauci-inmune. No tenía afección de otros órganos, la tomografía de tórax, así como la ecocardiografía transtorácica fueron normales. Inicialmente se consideró diagnóstico de vasculitis ANCA limitada al riñón. Se iniciaron glucocorticoides: primero pulsos de metilprednisolona (500mg vía intravenosa/cada día/3 días), seguidos por prednisolona 60mg/día por vía oral; además, recambios plasmáticos (recibió 14 en total) y ciclofosfamida 500mg vía intravenosa el día 0 y el día 15. Luego de un mes de hospitalización se dio de alta sin requerimiento de hemodiálisis, con valores promedio de creatinina de 2mg/dl. Se indicó seguir una dosis ambulatoria de 50mg/día de prednisolona y aplicación de la tercera dosis de ciclofosfamida.
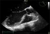
Sin embargo, reingresó a los 8 días por disnea, tos y fiebre, asegurando no haber suspendido los glucocorticoides. Se realizó ecocardiografía en la que se observó una masa vegetante de 4×5mm en el festón A2 de la valva anterior de la válvula mitral con insuficiencia, la cual no presentaba movimiento independiente (fig. 1). Se inició tratamiento con antibióticos empíricos de amplio espectro (vancomicina y piperacilina tazobactam, ajustados a su función renal) ante sospecha de endocarditis infecciosa, pero los hemocultivos realizados fueron negativos. A su ingreso la tomografía de tórax era normal. A pesar de recibir los antibióticos mencionados la paciente presentó deterioro clínico, consistente en incremento de la disnea hasta desarrollar falla ventilatoria requiriendo ingreso a la unidad en cuidados intensivos. Una nueva tomografía de tórax demostró hallazgos sugestivos de hemorragia alveolar, la cual se confirmó con el lavado broncoalveolar, y una nueva ecocardiografía demostró la persistencia de la lesión vegetante valvular y de la insuficiencia mitral. En ese momento se realizaron nuevos ANCA por ELISA los cuales resultaron positivos (anti-MPO).
Considerando el deterioro clínico a pesar del manejo como endocarditis infecciosa y el desarrollo de una nueva manifestación clínica atribuible a la vasculitis (hemorragia alveolar) se planteó la posibilidad de afección valvular por la vasculitis asociada a ANCA, y que el cuadro clínico en conjunto se correspondía a una poliangeítis microscópica (PAM). Después de encontrar casos similares de afección valvular en vasculitis ANCA se administró la tercera dosis de ciclofosfamida (500mg) y se inició rituximab. La paciente se recuperó, los hemocultivos continuaron negativos y al alta el control ecocardiográfico demostró resolución de la lesión vegetante y de la insuficiencia valvular.
DiscusiónLas vasculitis asociadas a ANCA tienen manifestaciones clínicas heterogéneas, la mayoría de ellas graves. La afectación valvular es posible, como quedó evidenciado en el caso clínico presentado, y representa un reto diagnóstico, en especial al momento de establecer la diferencia con endocarditis infecciosa. Las manifestaciones por embolismo séptico y fenómenos autoinmunes en la endocarditis bacteriana subaguda (EDBS) pueden simular una vasculitis asociada a ANCA1 adicionalmente, en la literatura se ha reportado del 18 al 33% de ANCA positivos entre pacientes con endocarditis infecciosa (generalmente del tipo c-ANCA por IFI y anti-proteinasa 3 [anti-PR3] por ELISA)1-3.
Puede ayudar a establecer la diferencia entre endocarditis infecciosa y vasculitis ANCA tener presente que la mayoría de pacientes con EDBS y ANCA como epifenómeno, han tenido positividad para otros autoanticuerpos y evidencia de complejos inmunes circulantes como hipocomplementemia o depósitos vasculares de complemento, que están ausentes en vasculitis ANCA. También se ha descrito que los ANCA en endocarditis se tornan negativos luego del tratamiento antibiótico y que contrario de los casos de vasculitis ANCA con lesiones valvulares, la necesidad de reemplazo valvular es infrecuente1.
En el caso descrito el diagnóstico de PAM se basó en la presencia de síndrome pulmón/riñón, positividad para anticuerpos anti-MPO por ELISA y p-ANCA por IFI con ausencia de afectación otorrinolaringológica o de demostración de enfermedad granulomatosa.
En los casos de endocarditis por vasculitis ANCA reportados en la literatura, el compromiso valvular más frecuentemente es la regurgitación aórtica, seguido por la regurgitación mitral (como en el caso descrito), ambos secundarios a: perforación valvular, engrosamiento valvular o septal o a la presencia de masas o de vegetaciones. Es de señalar que las vegetaciones no se han descrito en todos los casos4-5.
En la tabla 1 se describen las principales características de otros casos reportados en la literatura de afectación endocárdica en pacientes mayores de 16 años por vasculitis asociada a ANCA.
Características de los casos de endocarditis por vasculitis con ANCA reportados
| Año de publicación | Edad | Sexo | ANCA (ELISA) | ANCA (IFI) | Tipo de vasculitis | Tipo de afectación valvular | |
|---|---|---|---|---|---|---|---|
| Levine | 1957 | 28 | M | ND | – | GCP | Regurgitación mitral |
| Dabbagh | 1982 | 16 | M | ND | – | GCP | Regurgitación aórtica |
| Gerbracht | 1987 | 20 | F | ND | ND | GCP | Regurgitación aórtica |
| Yanda | 1989 | 77 | F | ND | ND | GCP | Regurgitación aórtica y mitral |
| Fox | 1994 | 20 | M | ND | ANCA+ND de tipo | GCP | Regurgitación aórtica y mitral |
| Davenport 1 | 1994 | 19 | M | PR3 | c-ANCA | GCP | Regurgitación aórtica |
| Davenport 2 | 1994 | 53 | M | PR3 | c-ANCA | GCP | Regurgitación aórtica |
| Grant | 1994 | 32 | M | ND | c-ANCA | GCP | Regurgitación aórtica y mitral |
| Goodfield | 1995 | 25 | M | ND | c-ANCA | GCP | Regurgitación aórtica |
| Anthony | 1999 | 48 | M | PR3 | c-ANCA | GCP | Estenosis aórtica. Vegetación |
| Paik | 1999 | 48 | M | ND | c-ANCA | GCP | Vegetación aórtica |
| Leff | 1999 | 17 | M | ND | c-ANCA | GCP | Regurgitación aórtica |
| Bruno | 2000 | 63 | F | ND | ANCA+ND de tipo | GCP | Regurgitación aórtica |
| Mishell | 2002 | 65 | M | PR3 | c-ANCA | GCP | Vegetación aórtica y mitral |
| Stöllberger | 2003 | 56 | M | PR3 | – | Desconocida | Regurgitación aórtica. Vegetación |
| Herbst | 2003 | 56 | F | ND | – | GCP | Regurgitación mitral. Masa mitral |
| Ramakrishnan | 2004 | 44 | F | ND | c-ANCA | GCP | Masa en prótesis mitral lado auricular |
| Attaran | 2010 | 52 | M | ND | ND | GCP | Regurgitación y estenosis mitral. Masa mitral |
| Koyalakonda | 2010 | 52 | M | ND | – | GCP | Regurgitación aórtica y mitral-estenosis mitral. Masa mitral |
| Lacoste | 2011 | 44 | M | MPO | p-ANCA | GCP | Regurgitación aórtica |
| Muñoz-Grajales | 2017 | 38 | F | MPO | p-ANCA | PAM | Regurgitación mitral. Vegetación |
ANCA: anticuerpos anticitoplasma de neutrófilos; IFI: inmunofluorescencia indirecta; GCP: granulomatosis con poliangeítis; MPO: anti-mieloperoxidasa; ND: no datos; c-ANCA: patrón de fluorescencia citoplasmático; p-ANCA: patrón de fluorescencia perinuclear; PAM: poliangeítis microscópica; PR3: proteinasa 3; −: negativo.
En la mitad de los casos de enfermedad valvular por vasculitis ANCA reportados, la afección valvular se presentó concomitantemente con el diagnóstico de la vasculitis, pero en cerca de un 30% se presentó cuando el paciente ya se encontraba recibiendo inmunosupresión. Una diferencia importante con la EDBS con positividad para ANCA, mencionada previamente, es que en la mayoría de los casos por vasculitis se ha requerido reemplazo valvular y solo en 2 casos, como en el nuestro, la inmunosupresión fue suficiente para lograr resolución de la afección valvular4-6.
Resaltamos que hasta donde llega nuestro conocimiento los casos reportados de vasculitis ANCA con afección valvular han sido en pacientes con diagnóstico de granulomatosis con poliangeítis, antes granulomatosis de Wegener y el nuestro sería el primero descrito en poliangeítis microscópica.
ConclusionesAunque infrecuente, hay reportes de varios casos en la literatura que como el descrito ponen de manifiesto la posibilidad que tienen las vasculitis asociadas a ANCA de afectar el aparato valvular cardíaco. Establecer la diferencia entre una endocarditis bacteriana aguda y una vasculitis asociada a ANCA es un reto diagnóstico. Los hemocultivos, la respuesta a los antibióticos, la positividad de otros anticuerpos, la evidencia de complejos inmunes circulantes y la persistencia de los ANCA pueden ayudar al clínico a establecer la diferencia, favoreciendo un proceso infeccioso los primeros y a una vasculitis ANCA el último.
Responsabilidades éticasProtección de personas y animalesLos autores declaran que para esta investigación no se han realizado experimentos en seres humanos ni en animales.
Confidencialidad de los datosLos autores declaran que han seguido los protocolos de su centro de trabajo sobre la publicación de datos de pacientes.
Derecho a la privacidad y consentimiento informadoLos autores declaran que en este artículo no aparecen datos de pacientes.
Conflicto de interesesLos autores declaran no tener ningún conflicto de intereses.





