Los depósitos de tofos en columna lumbar son una condición rara. Presentamos el caso de un varón de 44 años con dolor lumbar y radiculopatía. Las radiografías mostraron espondilolistesis lítica de L5, la resonancia magnética (RM) imagen hipointensa en T1 y heterogénea en T2 localizado en el espacio interespinoso L4-L5 y en articulación facetaria izquierda que invade el neuroforamen izquierdo. El ultrasonido de rodilla izquierda (RI) evidenció «doble contorno» del cóndilo femoral medial. Se realizó laminectomía descompresiva y artrodesis de L5-S1, el estudio histopatológico reportó material amorfo con reacción de células gigantes multinucleadas de tipo a cuerpo extraño.
Tophaceous deposits in lumbar spine is considered a rare condition. We report the case of a 44-year-old patient with low back pain and radiculopathy. Radiographs revealed lytic spondylolisthesis in L5. Magnetic resonance imaging showed hypointense signal on T1 and a heterogeneous signal on T2 located in the L4-L5 interspinous space and in the left facet joint that invades left neuroforamen. The left knee ultrasound showed «double contour» of the medial femoral condyle. Decompressive laminectomy with arthrodesis at the level of L5-S1 was performed. The histological examination revealed amorphous material with a foreign body giant cell reaction.
La gota es una enfermedad metabólica que resulta del depósito de cristales de urato monosódico (CUM) en los tejidos. La enfermedad no tratada progresa a la destrucción de las articulaciones con formación de tofos. La afectación de la columna vertebral es extremadamente rara. Presentamos el caso de un paciente con lumbalgia crónica y radiculopatía izquierda sin historia previa de gota en donde el hallazgo histopatológico fue compatible con tofo gotoso, estableciéndose el diagnóstico de gota tofácea en columna lumbar.
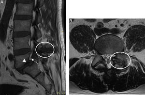
Caso clínicoVarón de 44 años, acudió al hospital por lumbalgia. Un año antes inició con lumbalgia progresiva e irradiación a miembro pélvico izquierdo. Seis meses antes presentó artritis de rodilla izquierda de inicio súbito, remitiendo con antiinflamatorios. El paciente se hospitalizó, su examen físico mostró marcha independiente, antiálgica, claudicación, disminución de la movilidad de columna por dolor, Lasegue y Bragard positivos, hipoestesia en dermatoma L5-S1 y RI con derrame articular. La biometría hemática, urianálisis, velocidad de sedimentación globular y proteína C reactiva con parámetros normales, ácido úrico sérico de 11,8mg/dl y ácido úrico en orina de 24h: 560mg. La radiografía con espondilolistesis lítica de L5, en la resonancia magnética (RM) señal hipointensa en T1 y heterogénea en T2 localizada en el espacio interespinoso de L4-L5, y en articulación facetaria izquierda que invade el neuroforamen izquierdo con lisis bilateral de la pars interarticular (fig. 1). El ultrasonido de rodilla izquierda mostró doble contorno del cartílago del cóndilo femoral medial (fig. 2A) y quiste de Baker de paredes gruesas con puntilleo hiperecoico en su interior (fig. 2B). Se efectuó laminectomía, liberación radicular de L5, fijación transpedicular L5-S1 y artrodesis postero-lateral. El estudio histopatológico del material removido por cirugía reportó material amorfo anfófilo acelular constituido por histiocitos epitelioides que fusionan sus citoplasmas formando células gigantes multinucleadas de tipo a cuerpo extraño (fig. 2C).
RM columna lumbosacra. A) Plano sagital en T1 con imagen hipointensa en espacio interespinoso L4-L5 (círculo) que invade el neuroforamen (flecha) y espondilolistesis de L5 (cabeza de flecha). B) Plano axial en T2 con imagen heterogénea en articulación facetaria izquierda con lisis bilateral de la pars interarticular (círculo).
A) Imagen de doble contorno del cartílago femoral (flechas). B) Quiste de Baker de paredes gruesas (círculo) con puntilleo hiperecoico en su interior (cabezas de flechas). C) Material amorfo anfófilo acelular (estrella) bordeado por histiocitos epitelioides (doble flecha) y células gigantes multinucleadas (flecha) que fagocitan este material.
La gota tofácea en la columna lumbar es rara. Todos los segmentos de la columna pueden estar afectados por gota, sin embargo la mayoría de los tofos gotosos se localizan en la columna lumbar, especialmente en la región L4-L51.
El tofo es una manifestación crónica de la gota, su presencia indica que el paciente tiene al menos una enfermedad de 5 años de evolución sin tratamiento médico2. El mecanismo fisiopatológico de la gota espinal se ha asociado a pobre vascularidad, condicionando un microambiente óptimo para la formación del tofo. Esta condición puede ser consecuencia de varios factores como un estado hiperlipidémico, obesidad o escasa actividad física, ya que los vasos pequeños del esqueleto axial por estas situaciones no tienen capacidad para filtrar adecuadamente la carga de ácido úrico que se deposita en esta área; asimismo, la presencia de enfermedad degenerativa del disco crea igualmente un microambiente favorable para el depósito de cristales y formación del tofo3,4.
ConclusiónEl paciente fue diagnosticado con lumbalgia y espondilolistesis lítica, sin embargo, el resultado histopatológico del tejido estudiado demostró hallazgos consistentes con un tofo gotoso en la columna lumbar. El diagnóstico definitivo de la gota tofácea en columna recae en la demostración de CUM obtenidos por biopsia guiada o por cirugía. En este caso clínico debido al procesamiento del material quirúrgico, los cristales no fueron visibles. Sin embargo, el hallazgo histopatológico de material amorfo con células gigantes multinucleadas en respuesta a un cuerpo extraño es consistente con tofo gotoso. El tratamiento quirúrgico es diagnóstico y terapéutico y debe considerarse en pacientes con deterioro neurológico5–7.
La presentación de este caso clínico garantiza que se considere la posibilidad diagnóstica de gota tofácea espinal en un paciente con diagnóstico de gota.
Conflicto de interesesLos autores declaran no tener ningún conflicto de intereses.





