Se trata de un varón de 71 años con antecedentes personales de hipertensión arterial sistémica en tratamiento con enalapril, 20 mg diarios, e hiperuricemia, con episodios de monoartritis en el pie izquierdo, no diagnosticados ni seguidos en consultas de Reumatología.
Ingresa por dolor y tumefacción en el segundo dedo de la mano derecha y en la cuarta articulación interfalángica proximal de la mano izquierda, sin fiebre ni otros datos clínicos.
La exploración física mostró nódulos de Heberden en ambas manos, con signos de artritis en la segunda interfalángica distal de la mano derecha, con gran tumefacción distal y aumento de partes blandas, con un tofo acompañante, así como en la cuarta interfalángica proximal de la mano izquierda.
En las pruebas de laboratorio destacó una uricemia de 7,20 mg/dl, con hemograma, perfil bioquímico y reactantes de fase aguda dentro de la normalidad (VSG: 14 mm/h, PCR: 0,49 mg/dl).
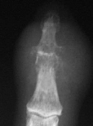
En las radiografías de las manos se apreciaron cambios degenerativos en las articulaciones metacarpofalángicas, interfalángicas y trapeciometacarpianas. La interfalángica distal del segundo dedo presentó aumento de partes blandas, con disminución del espacio articular y erosiones en sacabocados (fig. 1). La ecocardiografía y los hemocultivos seriados fueron negativos.
Se realizó aspiración de la articulación inflamada, con visualización de abundantes cristales de urato monosódico (UMS) intracelulares y extracelulares en el microscopio óptico de luz polarizada, lo que confirmó el diagnóstico de gota tofácea.
Además, se realizó drenaje quirúrgico del absceso (fig. 2), obteniéndose un líquido de características lechosas. Se enviaron muestras a cultivos, con crecimiento de Staphylococcus lugdunensis (S. lugdunensis), sensible a betalactámicos, macrólidos y quinolonas. Se inició tratamiento con cloxacilina, por vía intravenosa durante dos semanas (2 g/4 h).
La evolución fue favorable, con mejoría clínica del paciente y negativización de los cultivos tras el inicio de la antibioterapia con cloxacilina, que se completó posteriormente con ciprofloxacino, 750 mg/12 h, durante 15 días, de forma ambulatoria.
DiscusiónLa asociación entre artritis reumatoide y artritis séptica es bien conocida1; sin embargo, no está tan ampliamente documentada la coexistencia entre gota y artritis séptica, aunque cada vez se publican más casos clínicos y series de casos. En el estudio de Wallace et al2, sobre criterios preliminares de clasificación de gota, en un 4% de los pacientes con artritis séptica coexistió gota (sobre todo se identificaron tofos). En otro estudio realizado por Shah et al3, se analizaron 265 aspiraciones de líquido sinovial, de los que 183 (69%) presentaron cristales de urato monosódico, 81 (30,6%) cristales de pirofosfato cálcico y en un caso (0,4%) se aislaron ambos tipos de cristales. El porcentaje de asociación de artritis microcristalina y artritis séptica fue de un 1,5% (4 casos, de los que 3 presentaron cristales de pirofosfato y sólo en un caso cristales de urato monosódico).
En ambas situaciones la clínica se manifiesta por dolor y tumefacción articular y no siempre es fácil poder diferenciar si la artritis existente es debida a una u otra patología, especialmente si no existen datos clínicos que indiquen posibilidad de infección. Retrasar el diagnóstico de artritis séptica puede ocasionar una importante destrucción de la articulación afectada4. Es importante que aunque se realice un diagnóstico de gota por visualización de cristales de urato monosódico en el microscopio de luz polarizada, se envíen muestras de líquido sinovial para cultivo y tinción Gram5, especialmente en los casos de gota tofácea o severa.
S. lugdunensis fue descrito en 1988 por Freney et al6; se trata de un estafilococo coagulasa negativo, similar a S. aureus. Su incidencia ha aumentado en los últimos años gracias a su correcta identificación microbiológica. Habitualmente ha sido aislado en infecciones cutáneas y de tejidos blandos, aunque se han descrito también casos de endocarditis sobre válvula nativa, abscesos mamarios, osteomielitis, peritonitis, linfangitis, bacteriemias e infecciones asociadas a catéter7. Está relacionado con infecciones recidivantes de prótesis articulares y tras procedimientos como la artroscopia8. S. lugdunensis causa fundamentalmente infecciones en pacientes inmunodeprimidos7. Entre sus factores de virulencia, destaca la capacidad de unión a la matriz proteica extracelular, la fibronectina y el fibrinógeno.
La sensibilidad de los ECN a los antibióticos depende de la especie y de la procedencia hospitalaria o extrahospitalaria de la cepa. En nuestro medio, S. lugdunensis presenta una buena sensibilidad a los betalactámicos. Ante el aislamiento de un ECN y en particular S. lugdunensis, debemos estar alerta por su acción como patógeno de características agresivas en el paciente inmunodeprimido.
El interés de nuestro caso radica en la importancia de enviar muestras de líquido sinovial para cultivo, aun cuando visualicemos cristales, y el aislamiento poco habitual de S. lugdunensis en un paciente sin compromiso del sistema inmunitario ni procedimiento quirúrgico previo.





