A pesar de las medidas de cribado de tuberculosis (TB) siguen detectándose casos en pacientes tratados con anti-TNF-α y cribado inicial negativo, algunos tras largo tiempo de tratamiento, lo que apunta más a una nueva infección.
ObjetivosDescribir los casos que presumiblemente han desarrollado primoinfección tuberculosa durante el tratamiento con fármacos anti-TNF-α.
MétodosRevisión retrospectiva (1999-2012), seleccionando según los siguientes criterios: a) tratamiento anti-TNF-α; b) cribado de TB inicial negativo; c) TB diagnosticada durante tratamiento anti-TNF-α, y d) sospecha de primoinfección tuberculosa (tras mínimo 12 meses de anti-TNF-α). Se han revisado sus variables clínicas, epidemiológicas, terapéuticas y de desenlace.
ResultadosDos casos de primoinfección tuberculosa de 771 pacientes tratados con anti-TNF-α (0,2%). Una mujer de 41 años y 35 meses de tratamiento con adalimumab y un varón de 37 años y 107 meses de tratamiento con infliximab. La mujer presentó una neumonía y el varón una TB diseminada.
ConclusionesDurante la terapia anti-TNF-α persiste el riesgo de TB a pesar de cribado inicial negativo, por lo que el grado de sospecha debe ser elevado durante todo el tratamiento.
Despite screening for latent tuberculosis (TB), new cases of TB infection are detected in patients treated with anti-TNF-α and negative initial screening, some of them after long treatment, which points more to a new infection.
ObjectivesTo describe the cases that have presumably developed a primary tuberculous infection during treatment with anti-TNF-α drugs.
MethodsRetrospective audit (1999-2012). Inclusion criteria were: a) anti-TNF-α treatment; b) initial latent TB screening negative; c) TB diagnosed during anti-TNF-α treatment; d) suspected primary TB infection (diagnosis after at least 12 months on anti-TNF-α). Clinical, epidemiological, therapeutic and outcome variables were reviewed.
ResultsTwo cases of primary TB infection were found out of of 771 anti-TNF-α treated patients (0.2%). One woman aged 41 suffered TB pneumonia after 35 months of treatment with adalimumab, and a male aged 37 who developed disseminated TB after 107 months of treatment with infliximab.
ConclusionsAlthough uncommon, during TNF antagonist therapy, TB risk persists despite negative initial screening, so clinicians should be aware of TB during the entire treatment.
Las terapias biológicas con antagonistas del factor de necrosis tumoral (anti-TNF-α) han supuesto una revolución en el pronóstico de las enfermedades reumáticas. Su uso, sin embargo, no está exento de riesgos. Uno de los efectos adversos a tener presente es el aumento del número de infecciones1, en especial de las oportunistas y granulomatosas, como la tuberculosis (TB). Aunque el riesgo está incrementado con todos los agentes anti-TNF-α, hay datos que sugieren un mayor riesgo en los pacientes que reciben tratamiento con anticuerpos monoclonales frente a los que reciben la proteína de fusión2.
A partir del año 2002, la Food and Drug Administration recomienda el cribado de TB y quimioprofilaxis en caso de infección tuberculosa latente, previo al inicio de fármacos anti-TNF-α. Las situaciones en las que se debe realizar profilaxis son3: a) contacto reciente con TB documentada; b) antecedente de TB sin tratamiento correcto, y c) test de Mantoux positivo y/o secuelas radiográficas de TB. Con esta medida se ha reducido de forma dramática la aparición de TB en pacientes con anti-TNF-α4; sin embargo, se siguen detectando casos de TB a pesar de estudio de cribado inicial negativo5. Esto podría deberse a una reactivación de TB latente con cribado negativo (falso negativo) o a una primoinfección tuberculosa. El tiempo que tarda en aparecer la TB tras el inicio del anti-TNF-α puede resultar clave para orientar a reactivación o primoinfección, ya que cabe esperar que la reactivación ocurra en un espacio corto de tiempo tras iniciarse la inmunosupresión. Sin embargo, una infección tuberculosa tras largo tiempo de tratamiento orienta más a una primoinfección, aunque por el momento no se ha podido establecer un límite temporal claro entre ambas entidades6.
Dada su relevancia, el objetivo de este estudio es revisar los casos de TB activa que presumiblemente han desarrollado una primoinfección tuberculosa durante el tratamiento con fármacos anti-TNF-α, a pesar de cribado inicial negativo.
Material y métodosRevisión retrospectiva del registro de pacientes con terapias biológicas de la Sección de Reumatología del Hospital General Universitario de Alicante, que incluía desde 1999 hasta 2012 (fecha del estudio) a un total de 771 pacientes. Se han seleccionado las historias clínicas de pacientes que cumplían los siguientes criterios de inclusión: a) tratamiento actual o previo con fármacos anti-TNF-α; b) estudio de cribado de TB negativo previo al tratamiento anti-TNF-α; c) TB activa diagnosticada durante el tratamiento anti-TNF-α, y d) sospecha de primoinfección tuberculosa; para este estudio se consideró primoinfección tuberculosa si el diagnóstico se produjo tras al menos 12 meses con el agente biológico7. El protocolo de cribado de TB en nuestro centro consiste en test de Mantoux (± booster), radiografía de tórax y baciloscopia de esputo y orina, si procede. Se han revisado las variables clínicas (manifestaciones de enfermedad de base y de la tuberculosis), epidemiológicas (tiempo de tratamientos, estudio de contactos), terapéuticas (tratamientos recibidos y duración) y de desenlace (resultados de prueba y respuesta a tratamiento) de los casos que cumplieron los criterios de inclusión.
ResultadosDe los 771 pacientes incluidos en el registro, 7 presentaron TB activa: en uno no se realizó cribado de TB previo al inicio del fármaco por ser anterior a las recomendaciones; en 2 el resultado del Mantoux fue positivo, recibiendo uno de ellos quimioprofilaxis completa (pauta corta de 3 meses con rifampicina e isoniacida) y el otro incompleta. En los 4 pacientes restantes el cribado (incluido Mantoux, booster y radiografía de tórax) fue negativo. Dos de ellos desarrollaron TB antes de cumplirse el primer año de tratamiento anti-TNF-α, por lo que fueron considerados como reactivación de TB latente, con pruebas de cribado falsamente negativas. Finalmente, 2 pacientes (0,2% del total) cumplieron todos los criterios de inclusión, considerando que fueron primoinfecciones tuberculosas. A continuación se presentan los casos.
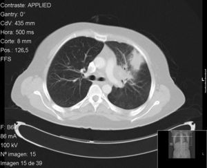
Caso 1: mujer de 41 años diagnosticada de espondilitis anquilosante, HLA-B27 positivo a los 30 años de edad, con afectación axial y uveítis anterior aguda recidivante. Ante insuficiente respuesta a AINE, se inició tratamiento con adalimumab en 2006, previo cribado de TB (en el momento del Mantoux solo estaba recibiendo tratamiento con AINE). Habiendo recibido 35 meses de tratamiento con adalimumab, en 2009 la paciente presentó un cuadro de fiebre, tos seca, malestar general, odinofagia y cefalea. Se realizó una TC pulmonar que mostró una masa de 4cm en segmento anterior del lóbulo superior izquierdo con adenopatías suprahiliares y prevasculares (fig. 1). El test de Mantoux en esta ocasión fue de 20mm a las 48 h. Se realizó broncofibroscopia con biopsia transbronquial, que reveló una mucosa con inflamación crónica granulomatosa con necrosis, y cultivo positivo para Mycobacterium tuberculosis (M. tuberculosis). Tras tratamiento tuberculostático con rifampicina, pirazinamida e isoniazida, la paciente quedó libre de enfermedad.
Se realizó estudio de contactos, resultando su padre positivo para infección tuberculosa latente, sin detectar contactos bacilíferos. A los 5 meses de haber finalizado el tratamiento tuberculostático, ante la reaparición de dolor lumbar inflamatorio y tras presentar 2 episodios de uveítis anterior aguda, se decidió reiniciar tratamiento anti-TNF-α, en este caso con etanercept, sin incidencias.
Caso 2: varón de 37 años, diagnosticado de espondilitis anquilosante, HLA-B27 positivo a los 14 años de edad, con afectación axial y periférica. Tratado inicialmente con sulfasalazina y AINE, en 2003 se inició infliximab en monoterapia, por persistencia de actividad. Previo al inicio del infliximab se realizó cribado de TB mientras el paciente estaba en tratamiento con sulfasalazina y AINE. En 2012, tras 107 meses de tratamiento con infliximab, comenzó con tos y expectoración, seguidos de disnea, fiebre y síntomas constitucionales. La radiología simple mostró un infiltrado suprahiliar derecho y una TC pulmonar confirmó el infiltrado alveolar en segmento 3 derecho, con presencia de adenopatías hiliares adyacentes. Se repitió el test de Mantoux, que fue en esta ocasión positivo (17mm), aislándose M. tuberculosis tanto en esputo como en la biopsia bronquial. Tras 2 semanas de tratamiento tuberculostático con isoniazida, pirazinamida, rifampicina y etambutol se detecta elevación de enzimas de colestasis, evidenciándose en ecografía hepatomegalia y múltiples imágenes hipoecoicas en el bazo. Se realiza una biopsia hepática que confirmó la afectación tuberculosa (fig. 2). Por tanto, el diagnóstico definitivo fue de TB diseminada con afectación pulmonar, hepática y esplénica.
El estudio de contactos no detectó otro caso de TB activa, pero sí infección tuberculosa latente en 2 familiares de edad avanzada.
El paciente completó 7 meses de tratamiento, con resolución completa, aunque durante el tratamiento tuberculostático presentó atelectasia en el lóbulo superior derecho por granuloma endobronquial, que se atribuyó a un fenómeno de reconstitución inmune. A los 6 meses del inicio del tratamiento tuberculostático, debido a marcada actividad inflamatoria de la espondilitis anquilosante, se decidió reiniciar tratamiento anti-TNF-α con etanercept, sin incidencias desde el punto de vista de la TB y con control de la actividad de la enfermedad inflamatoria.
DiscusiónEl TNF-α es una de las citocinas esenciales en la formación y el mantenimiento de la reacción inflamatoria granulomatosa que consigue frenar el M. tuberculosis8, por lo que su inhibición conlleva una mayor susceptibilidad a presentar esta infección. La inclusión en la práctica clínica habitual de las técnicas de cribado de TB latente previo al inicio de anti-TNF-α ha conseguido disminuir los casos de TB activa secundarios al uso de estos fármacos4. Sin embargo, el riesgo de presentar TB se mantiene elevado en estos pacientes mientras sigan en tratamiento. En nuestra serie, hemos detectado 2 casos en pacientes con cribado inicial negativo, que desarrollan una TB activa a los 35 y 107 meses de tratamiento anti-TNF-α. Parece razonable asumir que se trata de una primoinfección tuberculosa, ya que la enfermedad ha aparecido tras un largo periodo de inmunosupresión. Hemos empleado 12 meses como límite inferior para considerar como nueva infección TB. Esta fecha es arbitraria y puede ser discutible, pero en una serie británica7 de 703 pacientes tratados con anti-TNF-α, todas las reactivaciones se produjeron antes del año de tratamiento. También lo apoya el hecho de que Wallis6 estimara de forma matemática que al año de tratamiento con infliximab la causa predominante de TB sería la primoinfección. En cualquier caso, no se puede descartar que casos de TB antes del año de tratamiento puedan deberse también a una nueva infección.
La persistencia de riesgo de TB durante el tratamiento anti-TNF hace plantearse si es necesario repetir de forma periódica el cribado de TB8. Probablemente, por analogía con lo propuesto por el Centers for Disease Control and Prevention, Atlanta, EE. UU., para pacientes con infección por virus de la inmunodeficiencia humana9, se ha barajado la posibilidad de realizar el estudio de cribado de TB con una cadencia anual mientras dure el tratamiento con anti-TNF-α; sin embargo, esta estrategia no ha sido formalmente testada en pacientes reumáticos y genera ciertas dudas, especialmente si no hay una sospecha clínica o posible contacto con un paciente bacilífero (signo de Combe positivo). La finalidad es la detección de infección tuberculosa latente, pero se trata de pacientes que de contagiarse probablemente presentarían, como en los casos expuestos, TB activa dada la respuesta inflamatoria granulomatosa deficiente secundaria al tratamiento biológico. Otro punto que se debe tener en cuenta es un posible estado de anergia inmunológica cuando se realiza el Mantoux, ya que factores como inmunosupresión (sobre todo corticoides) y la edad podrían dar falsos negativos10.
En resumen, creemos necesario insistir en la persistencia del riesgo de presentar TB de los pacientes en tratamiento con anti-TNF-α, aunque el cribado inicial sea negativo. A pesar de su baja frecuencia en nuestra serie, su potencial morbimortalidad hace sensato mantener una sospecha alta a lo largo de todo el tratamiento con anti-TNF-α.
Responsabilidades éticasProtección de personas y animalesLos autores declaran que para esta investigación no se han realizado experimentos en seres humanos ni en animales.
Confidencialidad de los datosLos autores declaran que en este artículo no aparecen datos de pacientes.
Derecho a la privacidad y consentimiento informadoLos autores declaran que en este artículo no aparecen datos de pacientes.
Conflicto de interesesLos autores declaran no tener ningún conflicto de intereses.
AgradecimientosAl Dr. Miguel Trigueros, del Servicio de Anatomía Patología, por las imágenes de la biopsia.





