El síndrome de Sweet o dermatosis neutrofílica febril aguda es una enfermedad sistémica de etiología desconocida, caracterizada por la aparición de lesiones cutáneas producidas por un infiltrado dérmico neutrofílico, fiebre y leucocitosis periférica. Puede estar asociado a enfermedades hematológicas, incluida la leucemia, inmunológicas como la artritis reumatoide o presentarse de forma aislada. Las mielodisplasias son trastornos hematológicos caracterizados por una o más citopenias secundarias a la disfunción de la médula ósea. Se presenta el caso de un paciente con síndrome de Sweet asociado a un síndrome mielodisplásico que ha seguido tratamiento con glucocorticoides y no ha presentado una buena evolución clínica. Se discuten los diferentes tratamientos de estas enfermedades porque en la mayoría de las ocasiones los glucocorticoides, que son el tratamiento de elección en el síndrome de Sweet, pueden ser insuficientes.
Sweet's syndrome or acute neutrophilic febrile dermatosis is a systemic disease of unknown etiology characterized by the appearance of skin lesions produced by a neutrophilic dermal infiltrate, fever and peripheral leukocytosis. It may be associated with hematologic diseases, including leukemia, with immune diseases as rheumatoid arthritis, or can occur in isolation. The myelodysplasias are hematological disorders characterized by one or more cytopenias secondary to bone marrow dysfunction. We present the case of a patient with Sweet's syndrome associated with myelodysplastic syndrome and treated with glucocorticoids who did not present a good clinical outcome. We discuss the different treatment of these diseases because in most cases glucocorticoids, which are the treatment of choice in Sweet's syndrome, may be insufficient.
El síndrome de Sweet (SS) es una enfermedad dermatológica de etiología desconocida1,2 que se caracteriza por fiebre, leucocitosis, placas eritematosas y dolorosas. La histología demuestra densos infiltrados neutrofílicos. La presencia de anemia y trombopenia puede estar asociada a una neoplasia subyacente3.
Se presenta el caso de un paciente con SS y anemia que se diagnostica de un síndrome mielodisplásico (SMD), empeorando su pronóstico.
Los SMD son enfermedades hematológicas caracterizadas por citopenias que resultan de estados dismórficos de las células de la médula ósea. Un tipo de SMD es la anemia refractaria con exceso de blastos (AREB), siendo el número de blastos mayor del 5%: menor de 10% en el tipo 1 y entre el 10 y el 20% en el tipo 2. Son entidades refractarias a quimioterapia y el trasplante de hemocitoblastos ofrece curación. En la AREB el tratamiento de apoyo se hace con transfusiones de eritrocitos.
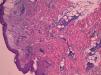
Caso clínicoVarón de 70 años, sin antecedentes de interés, que presentaba episodios recurrentes de 2 semanas de duración de fiebre alta, leucocitosis y pápulas y placas eritematosas en extremidades, que mostraron densos infiltrados neutrofílicos en la biopsia realizada (fig. 1). El paciente presentaba oligoartritis asimétrica que afectaba una muñeca y las rodillas. Analíticamente, se observó una velocidad de sedimentación (VSG) elevada, leucocitosis y anemia. Se trataron los episodios con glucocorticoides a dosis de 0,5mg/kg de peso, con escasa respuesta. La enfermedad se hizo crónica y recurrente. Se pautó indometacina a dosis de 150mg/día y yoduro potásico, sin observar mejoría. Paralelamente, el paciente fue diagnosticado de una AREB tipo 1 a raíz del estudio de una anemia persistente. Se le realizaron múltiples transfusiones de hematíes.
La evolución del paciente no fue favorable, persistían los episodios de fiebre, la clínica dermatológica y articular, y analíticamente la anemia empeoraba. Se indicó un trasplante de médula ósea. Durante la espera de un donante compatible, el paciente falleció posiblemente por una complicación de su proceso hematológico: empeoramiento de las citopenias o transformación a una leucemia.
DiscusiónSe puede clasificar el SS en 3 grupos: idiopático, asociado a enfermedad maligna e inducido por fármacos. Hasta el 54% de los pacientes puede tener una neoplasia o enfermedad hematológica4. Puede presentarse afectación articular (33-62%), pulmonar, ocular, renal, hepática o del sistema nervioso central. La enfermedad crónica recurrente se ve en torno a un 15%1. La enfermedad es más frecuente en mujeres en la quinta década de la vida. La VSG está elevada y hay anemia. Puede durar desde una semana hasta 4 años. El diagnóstico diferencial se debe realizar con el eritema nudoso diseminado, celulitis y erisipelas, eritema elevatum diutinum, eritema multiforme, vasculitis leucocitoclástica o pioderma gangrenoso.
Los glucocorticoides sistémicos son el tratamiento de elección. La indometacina5 es eficaz. La colchicina, el yoduro potásico, la dapsona, la ciclosporina, el interferón alfa o el etretinato6 son alternativas terapéuticas. Se han descrito casos de SS y SMD tratados con éxito con inmunoglobulinas por vía intravenosa7, glucocorticoides y doxiciclina o trasplante de células madre8,9.
El paciente del caso que se describe evolucionó desfavorablemente a pesar del tratamiento pautado. En espera del trasplante se hubiese podido plantear alguno de los tratamientos descritos en la literatura, aunque posiblemente el trasplante hubiese sido el único tratamiento eficaz.
ConclusiónEl SS es una entidad dermatológica poco frecuente, que cuando se acompaña de un SMD puede agravar su pronóstico. El tratamiento de elección del SS son los glucocorticoides, aunque en la mayoría de las ocasiones puede ser insuficiente y requiere de alternativas terapéuticas.
Responsabilidades éticasProtección de personas y animalesLos autores declaran que para esta investigación no se han realizado experimentos en seres humanos ni en animales.
Confidencialidad de los datosLos autores declaran que han seguido los protocolos de su centro de trabajo sobre la publicación de datos de pacientes y que todos los pacientes incluidos en el estudio han recibido información suficiente y han dado su consentimiento informado por escrito para participar en dicho estudio.
Derecho a la privacidad y consentimiento informadoLos autores han obtenido el consentimiento informado de los pacientes y/o sujetos referidos en el artículo. Este documento obra en poder del autor de correspondencia.
Conflicto de interesesLos autores declaran no tener ningún conflicto de intereses.




