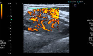
The patient was a 53-year-old man with no significant medical history. He presented with a painless mass in anterior forearm, reporting no previous injury. Physical examination confirmed the presence of a hard, immobile mass measuring less than 1cm. He came to the rheumatologic examination room, where he underwent soft tissue ultrasound (Toshiba Aplio®300). A round mass measuring less than 1cm was observed. It was iso/hypoechoic on gray scale images, was moderately well-defined, and was joined to a vessel that fed it (Fig. 1). On color Doppler, there was high echo intensity throughout the entire lesion, more intense on the periphery (Figs. 2 and 3). As there were findings that raised suspicion, such as heterogeneity, the marked vascularity and the marked Doppler signal (grade 3), magnetic resonance imaging was performed. This study revealed a round, well-defined form measuring 1cm, with hyperintensity on T1-weighted images, which pointed to a metastatic lesion (Fig. 4).
While the clinical picture was being completed on the basis of the constitutional symptoms, a biopsy of the skin lesion was carried out. The analysis of 4 tissue cores, measuring 0.4, 1.2, 1 and 0.9cm in length, respectively, and 0.1cm in diameter, confirmed the presence of infiltration of the fibromuscular tissue by prostate-specific antigen (PSA)-positive metastatic adenocarcinoma cells. In addition, laboratory tests revealed a PSA level of 13ng/mL, and transrectal ultrasound-guided biopsy of the prostate confirmed prostatic adenocarcinoma with distant cutaneous metastasis.
Comment/discussionAfter skin cancer, adenocarcinoma of the prostate represents the most common type of cancer in men and the second most common cause of death due to cancer. Death is often associated with metastatic disease which, in the case of prostatic adenocarcinoma, typically involves the bones and lymph nodes. It rarely affects the skin.1,2 Although the medical history and physical examination, laboratory tests and routine pathology may indicate the prostate as the origin of the metastatic disease, immunohistochemistry for PSA is often used to aid in establishing the diagnosis.3
This case is useful in clinical practice in rheumatology because: (1) the images can raise suspicion for the seriousness of a nodular lesion smaller than 1cm because of its vascularity and heterogeneity; (2) it highlights the importance of the rheumatologic examination room in the diagnosis of soft tissue tumors (benign or malignant) that rheumatologists should not disregard; (3) cutaneous metastases of prostatic adenocarcinoma are very uncommon and, in this case, soft tissue ultrasound helped to orientate the extensive study of the neoplastic disease; and (4) it is essential to identify the lesions on the basis of their ultrasonographic appearance and, when in doubt, the study should be extended to include magnetic resonance imaging.4
Ethical DisclosuresProtection of human and animal subjectsThe authors declare that no experiments were performed on humans or animals for this study.
Confidentiality of dataThe authors declare that they have followed the protocols of their work center on the publication of patient data.
Right to privacy and informed consentThe authors declare that no patient data appear in this article.
Conflicts of InterestThe authors declare they have no conflicts of interest.
Please cite this article as: Corominas H, Estrada P, Reina D, Cerdà-Gabaroi D. Ecografía en el diagnóstico de metástasis cutánea de adenocarcinoma de próstata. Reumatol Clin. 2016;12:54–56.







