La granulomatosis con poliangeítis (GP) es una vasculitis necrosante de causa desconocida, que afecta a vasos de mediano y pequeño calibre. Se asocia a anticuerpos anticitoplasma de neutrófilo (ANCA). Afecta con más frecuencia a los aparatos respiratorio y renal, y la característica anatomopatológica más relevante es la presencia de granulomas necrosantes.
ObjetivosDetallar las características de una serie de 15 pacientes con GP diagnosticados en un centro universitario de referencia.
Pacientes y métodosDiseño retrospectivo: entre 1984 y 2009 se diagnosticaron 15 pacientes con GP en nuestro centro. De todos ellos se obtuvieron de forma retrospectiva datos epidemiológicos, clínicos, analíticos, estudios anatomopatológicos y tratamiento recibido. Se consideró criterio de inclusión la biopsia diagnóstica de GP.
ResultadosSe diagnosticaron de GP 15 pacientes: 12 varones y 3 mujeres. Edad media en el momento del diagnóstico: 52,2 años (14-78). Antecedente de tabaquismo: 12 pacientes. Se practicó una biopsia que fue diagnóstica en todos los pacientes. Los ANCA resultaron positivos en 11 casos, y de éstos 6 correspondían a un patrón citoplasmático c-ANCA. Todos los pacientes tuvieron afectación pulmonar y siete (46%) tuvieron afectación renal. Todos los pacientes recibieron como tratamiento de inducción glucocorticoides endovenosos y ciclofosfamida. Cinco han fallecido.
ConclusionesLas características clínicas de la presente serie no difieren de las descritas por otros autores. El antecedente de tabaquismo fue más frecuente de lo esperado. Los fármacos más utilizados fueron los glucocorticoides y la ciclofosfamida (oral y en emboladas). La evolución generalmente fue desfavorable, con brotes o complicaciones debidas al estado de inmunosupresión, con excepción de las formas localizadas. Es preciso mantener el tratamiento inmunosupresor de forma indefinida en la mayoría de los casos.
Granulomatosis with polyangiitis (GP) is a necrotizing vasculitis of unknown etiology that involves small and medium caliber vessels. It is associated with anti neutrophil cytoplasm antibodies (ANCA). It most often affects the respiratory tract and the kidneys and its most important pathologic feature is the presence of necrotizing granulomas.
ObjectivesTo detail the features of 15 patients with GP diagnosed in a university referral center.
Patients and methodsRetrospective study: between 1984 and 2009, 15 patients with GP were diagnosed in our center. Epidemiological, clinical, laboratory test as well as pathologic studies and treatment were retrospectively analyzed. Biopsy diagnosis of GP was considered as an inclusion criterion.
ResultsFifteen patients were diagnosed: 12 men and 3 women. Mean age at diagnosis: 52.2 years (14-78). 12 patients had a history of smoking. A biopsy was diagnostic in all patients. ANCA were positive in 11 cases, 6 had a cytoplasmic c-ANCA pattern. All patients had pulmonary involvement and seven (40%) had renal involvement. All patients received intravenous glucocorticoids and cyclophosphamide as induction therapy. During the disease progression 5 patients died.
ConclusionsThe clinical features of this series do not differ from those described by other authors. However, a history of smoking is more common than expected. Frequently used drugs were glucocorticoids and cyclophosphamide (oral and pulse therapy). The course was usually unfavorable, with outbreaks or complications due to immunosuppression, except for those with limited forms. Immunosuppressive therapy should be maintained indefinitely in most cases.
La granulomatosis con poliangeítis (GP) es una vasculitis sistémica, de causa desconocida, que afecta a vasos de pequeño y mediano calibre. Se caracteriza por la afectación del aparato respiratorio y los riñones, pero puede afectar a otros órganos. Los anticuerpos anticitoplasma de neutrófilo (ANCA) son positivos con frecuencia y la característica histológica más relevante es la presencia de granulomas necrosantes. El diagnóstico se basa en las manifestaciones clínicas, la biopsia de los órganos afectados y la presencia de ANCA. Hoy en día se agrupa dentro de las vasculitis ANCA positivas1–4. Este tipo de vasculitis es poco frecuente en España y las series existentes incluyen número limitado de pacientes. A continuación, se describen las características clínicas, analíticas, iconográficas y el tratamiento recibido en una serie de 15 pacientes con GP, diagnosticados en un centro universitario de referencia.
Pacientes y métodosSe revisaron retrospectivamente (1984-2009) las bases de datos de la sección de Reumatología (CIPPER), donde se registran todos los diagnósticos realizados en nuestra sección desde 1984, y la del servicio de anatomía patológica del Hospital Universitario Germans Trias i Pujol: área de referencia de 850.000 habitantes. En nuestro centro, reumatología asume las colagenosis y las vasculitis, por lo que los pacientes son estudiados en nuestro servicio aunque no tengan manifestaciones articulares. Para completar la serie con pacientes estudiados en otros servicios tales como nefrología, se revisó la base de datos de anatomía patológica, que clasifica a los pacientes por diagnóstico anatomopatológico. En este periodo se diagnosticaron 15 pacientes con GP. Todos los pacientes cumplían los criterios de clasificación del Colegio Estadounidense de Reumatología (ACR) y del Consenso de Chapel Hill4–6. Se consideró criterio de inclusión la presencia de una biopsia diagnóstica. Se revisaron las historias clínicas físicas y electrónicas de todos los pacientes. Se recogieron las siguientes variables: datos epidemiológicos, manifestaciones clínicas, pruebas de imagen, tratamiento recibido y pruebas de laboratorio tales como el hemograma (Coulter), velocidad de sedimentación globular (VSG) (Westergren), proteína C reactiva (PCR) (nefelometría), bioquímica plasmática y urinaria, y los ANCA (inmunofluorescencia directa con kits Menarini; inmunoabsorción con ELISA por Phadia).
ResultadosEn este periodo se diagnosticaron en la sección de reumatología 358 vasculitis. Cuarenta y cuatro casos pertenecían al subgrupo de vasculitis asociadas a ANCA: 16 poliangeítis microscópicas, 18 GW y 10 síndromes de Churg Strauss. La incidencia anual calculada de GW resultó de 0,6 por millón de habitantes.
Quince pacientes cumplieron criterios histológicos de GP: 12 varones (80%) y 3 mujeres (20%). La edad media en el momento del diagnóstico fue de 52,2 años (intervalo 14-78). El tiempo medio desde el inicio de los síntomas hasta el diagnóstico resultó de 3,5 meses (intervalo 0,5-14). El tiempo medio de seguimiento fue de 82,7 meses con un valor máximo de 426. Doce de los pacientes (80%) presentaban el antecedente de tabaquismo y uno inhalaba cocaína de forma habitual.
Las principales manifestaciones clínicas se recogen en las tablas 1 y 2. La mitad de los pacientes (53%) presentaron fiebre como uno de los síntomas de inicio y un 40% tenía un síndrome constitucional en el momento del ingreso al hospital7–9. La manifestación clínica más frecuente fue la afectación del aparato respiratorio. Trece presentaron afectación de la vía aérea superior y 11 presentaron afectación pulmonar. La sinusitis fue la alteración de la vía respiratoria superior más común, observada en 7 pacientes (46%), seguida de la rinorrea 4 (26%) y las costras nasales 3 (20%). Cuatro pacientes (26%) presentaron durante la evolución perforación del tabique nasal y dos, estenosis traqueal, que requirió intervención quirúrgica. La tos fue el síntoma respiratorio más habitual, presente en 10 casos (66%), seguido de la hemoptisis en 5 (33%). Dos pacientes (13%) presentaron un episodio de hemorragia pulmonar. Tres casos (20%) presentaron una forma de GP limitada (dos de la vía aérea superior y uno traqueal).
Principales series de granulomatosis con poliangeítis (Wegener) publicadas. Comparativa de manifestaciones clínicas, epidemiológicas e inmunológicas con nuestra serie
| Fauci7 (1983) | Anderson8 (1992) | Hoffman9 (1992) | Tural10 (1992) | González-Gay11 (1999) | Ríos-Blanco12 (2005) | Martínez-Morillo (2010) | |
| Número | 85 | 265 | 158 | 6 | 9 | 13 | 15 |
| Años de inclusión | 21 | 10 | 24 | 5 | 10 | 20 | 25 |
| Edad media | 40,6 | 50 | 41 | 38,3 | 58,4 | 44 | 52,2 |
| Varones/mujeres | 48/37 | 146/119 | 79/79 | 5/1 | 3/6 | 10/3 | 12/3 |
| Afectación orgánica | |||||||
| Fiebre | 34 | – | 23 | 50 | 44 | 61 | 53 |
| Vía aérea superior | 94 | 75 | 92 | 67 | 67 | 77 | 86 |
| Pulmón | 94 | 63 | 90 | 50 | 78 | 69 | 73 |
| Riñón | 85 | 60 | 77 | 50 | 89 | 61 | 40 |
| Sistema nervioso | 50 | – | 15 | 17 | – | 54 | 53 |
| Cardiovascular | 12 | – | 6 | – | – | 31 | – |
| Piel | 45 | 25 | 46 | 33 | 44 | 23 | 40 |
| Ocular | 58 | 14 | 15 | – | – | 15 | 13 |
| ANCA | |||||||
| Positivos/investigados | – | – | – | 4/6 | 6/7 | 6/9 | 11/12 |
Resumen de las manifestaciones clínicas de los pacientes de la serie
| Edad y sexo | ANCA | Aparato respiratorio | Renal | Piel | Ocular | Locomotor | Sistema nervioso |
| 33, varón | c-ANCA | Sinusitis, rinorrea y costras, nódulos cavitados, hemoptisis | Glomerulonefritis | Nódulos subcutáneos, úlceras, isquemia digital | Dacriocistitis | Artralgias-artritis | Multineuritis |
| 38, varón | c-ANCA | Granulomas, hemoptisis | Glomerulonefritis | Vasculitis cutánea | Conjuntivitis | Artralgias | No |
| 45, varón | desconocido | Sinusitis | Glomerulonefritis | Vasculitis cutánea | No | No | Mononeuritis múltiple |
| 51, varón | c-ANCA | Rinorrea y costras, tos, nódulos, hemoptisis | Insuficiencia renal | Vasculitis leucocitoclástica | No | No | Multineuritis |
| 60, varón | c-ANCA | Sinusitis, tos, nódulos | Glomerulonefritis | No | No | No | Multineuritis |
| 58, varón | c-ANCA | Rinorrea | Insuficiencia renal | No | No | No | Mononeuritis múltiple |
| 78, mujer | c-ANCA | Rinorrea y costras | No | Paniculitis | No | No | Parálisis motor ocular externo |
| 66, varón | Negativo | Estenosis bronquial, tos, nódulos | No | Úlcera cutánea | No | No | No |
| 60, mujer | p-ANCA | Rinorrea y costras, sinusitis, hemoptisis | No | No | No | No | Hipoacusia neurosensorial |
| 68, varón | p-ANCA | Sinusitis, tos, granulomas | No | No | No | No | Hidrocefalia por plexitis y ependimitis |
| 48, varón | c-ANCA | Estenosis traqueal, nódulos, hemoptisis | No | No | No | No | No |
| 67, varón | c-ANCA | Tos, nódulos | No | No | No | No | No |
| 33, mujer | p-ANCA | Destrucción tabique nasal | No | No | No | No | No |
| 64, varón | Desconocido | Sinusitis, tos, nódulos, hemoptisis | No | No | No | No | No |
| 14, varón | Desconocido | Estenosis bronquial y traqueal, tos rinorrea, hemoptisis | No | No | No | No | No |
La afectación neurológica se observó en 8 pacientes (53%) y fue segunda en frecuencia. En 7 casos (46%) se afectó el sistema nervioso periférico: mononeuritis múltiple (5), parálisis del motor ocular externo (1) e hipoacusia neurosensorial (1). Un único paciente (6%) presentó afectación del sistema nervioso central como manifestación inicial de la enfermedad, en forma de plexitis y ependimitis con hidrocefalia secundaria que requirió ventriculostomía y drenaje.
La afectación renal fue frecuente, interesando a 7 pacientes (46%). Todos presentaron una glomerulonefritis necrosante. Cinco de ellos (33%) tenían proteinuria, aunque sólo uno de rango nefrótico y 4 hematuria (26%). De los 7 pacientes con afectación renal, 4 evolucionaron a insuficiencia renal crónica (26%) y uno de ellos requirió hemodiálisis (6%).
Las manifestaciones cutáneas se presentaron en 6 pacientes (un 40%): 3 vasculitis leucocitoclásticas, 2 úlceras vasculíticas y 1 paniculitis. Otros sistemas menos afectados fueron el ocular (2, un 13%) y el musculoesquelético (2). Un paciente presentó conjuntivitis y otro, dacriocistitis. Dos pacientes (13%) presentaron artralgias de grandes articulaciones. La afectación gastrointestinal y la cardiovascular no estuvieron presentes.
Respecto a las pruebas de imagen más de la mitad de nuestros pacientes (10 de 15, un 66%) presentó alteraciones en la radiografía de tórax. La más común fue la presencia de nódulos pulmonares (80%), seguidos de los infiltrados mayoritariamente bilaterales (50%). Sólo uno de los pacientes presentó derrame pleural. Se practicó una tomografía computarizada en 8 pacientes; en todos se confirmó la presencia de nódulos y en cuatro de ellos (50%) se evidenció cavitación.
En las pruebas de laboratorio, en el momento del diagnóstico todos los pacientes tenían anemia con una media de hemoglobina de 10,6g/dl. Siete pacientes (46,6%) presentaban leucocitosis con una cifra media de 15.400 x 109/l y 5 casos (33,3%) trombocitosis, con una media de plaquetas de 523.000 x 109/l. La VSG y la PCR estaban elevadas en el 90% de los casos, con una media de 65,3mm/h y 37,6 en mg/l (N<5mg/l), respectivamente. Los ANCA fueron positivos en 11 casos (73%), negativos en 1 caso (6,6%) y desconocidos en 3 casos (20%). De los ANCA positivos, 6 (54%) fueron c-ANCA con especificidad a proteinasa 3, 3 (27%) p-ANCA con especificidad a mieloperoxidasa y el resto, indeterminados.
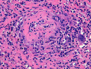
Se realizaron 30 biopsias. Sólo 21 de las mismas (70%) fueron compatibles con GP, el resto fueron no concluyentes. El órgano más biopsiado fue el pulmón: 5 biopsias. Cuatro evidenciaron neumonitis granulomatosa necrosante con vasculitis de vasos de pequeño y mediano tamaño. Se realizaron 5 biopsias de las fosas nasales. Tres de ellas evidenciaban vasculitis necrosante con granulomas. Las 2 restantes presentaban tejido de granulación, con necrosis fibrinoide en vasos de pequeño y mediano calibre, sin mostrar granulomas. Respecto a las biopsias de vía aérea (suponen un total de 4), se observó traqueítis granulomatosa en las 2 realizadas en la tráquea y necrosis con tejido de granulación con abundantes histiocitos y células multinucledas en las 2 muestras bronquiales (fig. 1). Se realizaron 4 biopsias renales. Todas ellas evidenciaron vasculitis necrosante, dos de ellas con proliferación extracapilar. No se evidenciaron granulomas. En 2 casos se practicó una biopsia cutánea de lesiones purpúricas. Una de ellas evidenció una vasculitis leucocitoclástica y la otra una vasculitis granulomatosa con ulceración epidérmica. Un paciente fue diagnosticado de mononeuritis múltiple y la biopsia muscular puso de manifiesto vasculitis con necrosis fibrinoide de arteriolas intramusculares. De las biopsias que resultaron no concluyentes o inespecíficas, 3 pertenecían al pulmón, 2 a la vía aérea, 3 nasales y 1 de nervio sural.
Todos los pacientes recibieron como tratamiento de inducción glucocorticoides por vía endovenosa en dosis de 1mg/kg/día y ciclofosfamida. En 7 casos (46%) los glucocorticoides se administraron en forma de emboladas de 0,5-1g y la ciclofosfamida en 4 casos (26%) fue administrada por vía endovenosa y 11 (74%) por vía oral en dosis de 2mg/kg/día. El tratamiento durante la fase de mantenimiento se realizó con glucocorticoides (7), micofenolato de mofetilo (4), rituximab (2) y azatioprina (2). Uno de los pacientes, durante un brote con afectación renal, requirió plasmaféresis. En la actualidad se mantiene el seguimiento de 7 pacientes (46%). Dos permanecen sin tratamiento inmunosupresor y 5 están en tratamiento con micofenolato de mofetilo en dosis media de 810mg/día (4) y azatioprina en dosis de 150mg/día (1). Los 5 reciben simultáneamente glucocorticoides en dosis media de 3mg/día (2,5-10). Dos pacientes precisaron de intervención quirúrgica de vía aérea superior y un paciente se trata con hemodiálisis. Cinco fallecieron por complicaciones de la enfermedad o del tratamiento inmunosupresor.
DiscusiónLa GP es una entidad poco frecuente. La incidencia anual en nuestra área de referencia es de de 0,6 casos por cada millón de habitantes. Este hecho explica el limitado número de pacientes obtenidos en un solo centro hospitalario durante un periodo de 25 años. Este dato contrasta con la mayor incidencia hallada por González-Gay et al10 (Lugo), quien recoge 9 pacientes durante 10 años. Estas diferencias podrían deberse al hecho que en nuestra zona de referencia existen varios hospitales comarcales a los que podrían consultar los pacientes, o a lo estricto de nuestro criterio de inclusión.
Las características demográficas son similares a las de las otras series descritas7,10–14. Es destacable una mayor prevalencia de tabaquismo entre los pacientes estudiados, que alcanza el 80%, dato no descrito en ninguna de las otras series. La prevalencia de fumadores en España se sitúa entre el 29-34%. La mayoría de los pacientes fueron varones, lo que contrasta con datos de otras series, que no objetivan diferencias significativas en el género o describen un discreto predominio en varones. La edad media de presentación coincide con la del resto de las series, en torno a la cuarta o quinta décadas de la vida7,10–14.
Llama la atención la baja incidencia de afectación cardiovascular comparada con la serie española de Ríos-Blanco et al14. No obstante, en el resto de series también se describen porcentajes de afectación cardiovascular similares al del presente trabajo. Otro dato a destacar es la mayor prevalencia de afectación neurológica que renal, no observada en otras series. El resto de las manifestaciones clínicas tienen una frecuencia similar a la observada en el resto de series publicadas; la afectación de la vía respiratoria es la más frecuente7,10–14.
En cuanto a las pruebas de imagen las alteraciones más descritas en la radiografía de tórax y en la tomografía computarizada fueron los nódulos (en un 50% de los casos eran cavitados) y los infiltrados, datos que no difieren de los descritos en otras series7,10.
La determinación de los ANCA es una prueba diagnóstica fundamental, pese a no estar incluida en los criterios de clasificación del ACR o del Consenso de Chapel Hill4–6. Se estima que la sensibilidad diagnóstica de los c-ANCA es del 66% y la especificidad del 98%. Tal como reflejan otros trabajos la presencia de ANCA positivos es muy habitual, encontrándose entre el 85 y el 91% de los pacientes investigados. Asimismo, se evidencia el predominio del patrón citoplasmático (6 de 11) sobre el perinuclear (3 de 11)7,13,14.
Se realizaron un total de 30 biopsias en los 15 pacientes. Únicamente en 21 de las mismas se hallaron alteraciones compatibles con GP. De las biopsias que resultaron no concluyentes o inespecíficas, 3 pertenecían al pulmón, 3 a la vía aérea, 3 nasales y 1 de nervio sural. Todas las biopsias renales realizadas fueron diagnósticas y ninguna demostró granulomas. Esto concuerda con los datos descritos por Davaney et al15, quienes consideran las biopsias pulmonares transbronquiales y las de fosas nasales de escasa rentabilidad. Sin embargo, las biopsias renales son muy rentables, aunque en escasas ocasiones evidencien granulomas.
El tratamiento estándar de la GP durante la fase de inducción consiste en la combinación de glucocorticoides en una dosis de 1mg/kg/día y ciclofosfamida por vía oral o intravenosa. Todos los pacientes incluidos recibieron este tratamiento. Respecto de la fase de mantenimiento existen muchas más discrepancias. Los pacientes descritos recibieron glucocorticoides únicamente o en combinación con micofenolato de mofetilo (4), rituximab (2) y azatioprina (2).
Las limitaciones del presente estudio son: el carácter retrospectivo y el limitado número de pacientes por la baja incidencia de esta enfermedad.
En conclusión, se presentan un total de 15 pacientes diagnosticados de GP. Las características clínicas de la presente serie no difieren de las descritas por otros autores. Cabe destacar la frecuencia de tabaquismo, no referenciado en otras series. La determinación de los ANCA fue positiva en el 91% de los pacientes. Los fármacos más utilizados en el tratamiento de la GP fueron los glucocorticoides y la ciclofosfamida. La evolución fue desfavorable, con brotes o complicaciones debidas al estado de inmunosupresión, con excepción de las formas localizadas. Fue preciso mantener el tratamiento inmunosupresor de forma indefinida en la mayoría de los casos.
Conflicto de interesesLos autores declaran no tener ningún conflicto de intereses.






