Presentamos un paciente que desarrolló un íleo intestinal como debut de un lupus eritematoso sistémico (LES), con una buena respuesta a tratamiento corticoideo.
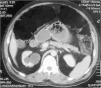
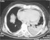
Caso clínicoVarón de 56 años de edad con antecedentes de psoriasis y cuadros ocasionales de artritis tratados con antiinflamatorios no esteroideos y corticoides. Comienza los días previos a su ingreso con mal estado general, artritis simétrica (codos, muñecas e interfalángicas) y fiebre mantenida de hasta 38,5°C acompañado de disnea progresiva hasta hacerse de reposo, sin tos, expectoración ni dolor torácico. En la exploración observamos la presencia de lesiones psoriasiformes generalizadas, artritis en codos y muñecas, hipoventilación en bases pulmonares y tonos cardiacos rítmicos apagados con roce pleural. Analíticamente destaca hemoglobina de 11,3g/dl, leucocitos 14,8×103/μl, neutrófilos 13,3×103/μl, linfocitos 1×103/μl, plaquetas 298×103/μl, tiempo de protrombina del 58%, tiempo de tromboplastina parcial activada: 57,9 s, proteína C reactiva >9mg/dl, velocidad de sedimentación globular 83mm/1.ah y enzimas cardiacas dentro de valores normales. El electrocardiograma muestra ritmo sinusal a 100 latidos por min, con un eje a +30°, sin evidenciarse alteraciones en la repolarización ni signos de isquemia. En la radiografía de tórax se aprecia cardiomegalia grado III/V y derrame pleural. En el ecocardiograma se objetiva derrame pericárdico moderado sin signos de taponamiento ni hipomotilidad segmentaria. Se solicita escáner torácico, donde se confirma la existencia del derrame pericárdico y pleural (fig. 1). Ante la sospecha de sepsis de posible origen respiratorio, se inicia antibioterapia empírica con ceftriaxona. Los cultivos de sangre, orina y esputo para bacterias y bacilo de Koch realizados de manera seriada fueron repetidamente negativos. El paciente evoluciona desfavorablemente, persiste la fiebre y presenta íleo intestinal con marcada distensión abdominal, dolor difuso a la palpación y vómitos fecaloideos, con incremento progresivo de los reactantes de fase aguda. Se realiza escáner abdominal (fig. 2) donde se observa importante dilatación del marco cólico intestinal desde sigma hasta cámara gástrica inclusive sin evidenciarse causa obstructiva. El riñón derecho muestra dilatación de grupos caliciales, con hidronefrosis grado III y dilatación de la porción inicial del uréter. En la colonoscopia no se objetiva causa de estenosis. En este momento recibimos autoinmunidad, con anticuerpos antinucleares (ANA) a título de 1/320, que junto a la linfopenia, artritis y poliserositis hacen que el paciente cumpla criterios del American College of Rheumatology (ACR) de 1997 para LES. Se inicia tratamiento corticoideo a altas dosis (metilprednisolona 1g cada 24h durante 5 días). El paciente presenta mejoría clínica con defervescencia, resolución del íleo, de la poliserosistis, de la artritis, y normalización analítica. En las revisiones posteriores está paucisintomático, con episodios ocasionales de artritis.
DiscusiónEl LES es una enfermedad autoinmune multisistémica de etiología desconocida. A pesar de que las manifestaciones gastrointestinales se presentan durante la evolución de la enfermedad en más del 50% de los pacientes, estas están infravaloradas1. La clínica digestiva es muy variada y puede afectar a cualquier órgano, aunque la mayoría de las complicaciones ocurren a nivel de intestino delgado y grueso. El proceso más frecuente a dicho nivel es la vasculitis1. Recientemente se ha descrito la relación de la pseudoobstrucción intestinal con el LES2 , existiendo menos de 30 casos publicados2. La pseudoobstrucción intestinal puede aparecer dentro del cuadro de debut del LES en un porcentaje en torno al 40%2 de los casos, como el paciente presentado (con la consiguiente dificultad diagnóstica), o dentro de un brote de la enfermedad tras años de evolución3. La clínica es de vómitos, dolor abdominal y cuadros de diarrea en casos de afectación del intestino delgado por el sobrecrecimiento bacteriano o estreñimiento si actúa sobre el intestino grueso. La pseudoobstrucción intestinal se acompaña de ureterohidronefrosis hasta en un 63,6% de los casos4. El mecanismo íntimo de producción es desconocido. Su asociación con la ureterohidronefrosis se explicaría por la circulación de anticuerpos contra la musculatura lisa1 o por una posible afectación vasculítica de la misma que produciría la hipomotilidad y el daño muscular2, llevando a la atrofia y a la degeneración de la media con necrosis fibrinoide de los vasos de la pared e infiltración de la lámina propia5. El tratamiento consiste en altas dosis de esteroides y/o inmunosupresores junto a procinéticos. Presenta un mal pronóstico, con una mortalidad en torno al 18% a los 6 meses de aparición de la pseudoobstrucción2. Es importante destacar que una alta sospecha clínica es fundamental para evitar intervenciones quirúrgicas innecesarias.
Conflicto de interesesLos autores declaran no tener ningún conflicto de intereses.
 
										
				





 
 
		
