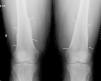
The patient, a 45-year-old male, was referred to the rheumatology clinic due to diffuse joint pain on the wrists and knees. The patient was diagnosed with liver cirrhosis and severe hepatopulmonary syndrome. Physical examination showed swelling of the knees and wrists (arthritis) and clubbing. The X-rays requested showed periosteal thickening observed continuously, in a diaphysometaphysiary location of the radius and ulna in both forearms, and predominantly in distal femurs and both knees, compatible with nonaggressive periosteal reaction. Fig. 1 shows periosteal thickening affecting both femurs on the concave bone edge and respecting the epiphysis, and equal involvement of the radius and ulna on the right wrist, in Fig. 2.
The findings on physical examination were finger-clubbing and arthritis of the hands and knees, and the radiological presence of continuous noninvasive periostitis of the concave edge affecting the long bones of both the upper and lower extremities, with a diagnosis of hypertrophic osteoarthropathy. This clinical entity is mainly associated with intrathoracic processes (especially malignancy, namely lung cancer and pleural tumors), but also other diseases among which one can include liver disease (hepatocellular carcinoma, alcoholic hepatitis and both Portal biliary cirrhosis and cirrhosis of the liver).1–3
In our case, the patient was treated with chemoembolization of the hepatocellular carcinoma, and is currently in alcohol detoxification using anti-inflammatory drugs for osteoarticular involvement.
Ethical ConsiderationsProtection of persons and animals. No experiments were performed on humans or animals.Data confidentiality. Patient data does not appear in this article.Right to privacy and informed consent. Authors obtained informed consent from patients and/or subjects referred to in this paper. These are in the hands of the corresponding author.
DisclosuresThe authors have no disclosures to make.
Please, cite this article as: Morán LM, Ariza A. Osteoartropatía hipertrófica asociada a cirrosis hepática. Reumatol Clin. 2013;9:248–9.





