La enfermedad relacionada con IgG4 (ER-IgG4) es una condición clínica recientemente reconocida, con múltiples aspectos aún no dilucidados. Se caracteriza por el compromiso fibroinflamatorio de múltiples órganos; con hallazgos clínicos, serológicos e histopatológicos que representa un importante reto para el clínico. Clásicamente descrita como una lesión tumoral expansiva con fibrosis estoriforme, infiltración linfoplasmocítica (IgG4 positiva) e IgG4 sérica elevada. Las características clínicas son variables, se describe tanto compromiso pancreático como extrapancreático, es de predominio en varones asiáticos mayores de 50 años, y rara vez es descrita en personas de raza negra. Presentamos el caso de una mujer, adolescente, afro-colombiana, que presenta protrusión ocular unilateral inexplicable, con hallazgos histopatológicos que revelan infiltración de células linfocíticas y plasmáticas en la glándula lacrimal, con positividad para IgG4, descartándose otras condiciones, lo que confirma una dacrioadenitis por enfermedad relacionada con IgG4.
IgG4-related disease (IgG4-RD) is a recently recognized clinical condition with multiple aspects not yet elucidated. It is characterized by a fibrous inflammatory process that involves multiple organs and clinical, serological and histopathological findings, which represent a major challenge for the clinician. Classically described as an expansive tumor lesion with storiform fibrosis, lymphoplasmacytic infiltration (IgG4-positive) and elevated serum IgG4. Clinical features are variable, and pancreatic as well as extrapancreatic involvement has been reported, more frequently in Asian men over 50 years and rarely described in black people. We report the case of an Afro-Colombian teenage woman, who had a unilateral ocular protrusion of unknown cause, with histopathologic findings that revealed infiltration of lymphocyte and plasma cells into the lacrimal gland. It was positive for IgG4, ruling out other conditions, and confirming IgG4-related dacryoadenitis.
La enfermedad relacionada con IgG4 (ER-IgG4) es una condición inflamatoria inmunomediada que mimetiza desórdenes autoinmunes, infecciosos y malignidades con afectación órgano-específica o multisistémica1. Es más prevalente en varones asiáticos, entre la quinta y sexta década de la vida, siendo el compromiso orbitario la manifestación extrapancreática más usual2. Presentamos un caso de dacrioadenitis en una adolescente afro-colombiana como manifestación infrecuente de ER-IgG4.
Descripción del casoMujer de 13 años, afro-colombiana, consulta por 7 días de dolor ocular y proptosis derecha (fig. 1A), sin antecedentes. Oftalmología encontró asimetría orbitaria, globo ocular descendido y proptosis derecha (exoftalmometría ojo derecho 22mm, izquierdo 18mm). La resonancia magnética nuclear (RMN) orbitaria mostró aumento de tamaño de la glándula lacrimal derecha con efecto masa, sugestivo de proceso inflamatorio/neoplásico, sin compromiso óseo.
A) Proptosis derecha al inicio del cuadro clínico. B) RMN, corte transversal, al ingreso, T1 poscontraste. Nótese el agrandamiento de la glándula lacrimal derecha, con realce después de la administración del medio de contraste. C) Disminución de la proptosis después de un año de seguimiento. D) RMN, corte transversal, de control al año de seguimiento, T1 poscontraste. Nótese la disminución del tamaño de la glándula lacrimal derecha comparada con la RMN inicial.
La tomografía toraco-abdominal, aspirado, biopsia e inmunofenotipo de médula ósea, marcadores infecciosos (ELISA VIH, anti-VHC, AgS-HB, anti core-VHB), TSH/T4L, proteína C reactiva, eritrosedimentacion, complemento (C3-C4), ANA, ENA, ANCA y niveles séricos de inmunoglobulinas fueron normales o negativos, estas últimas descartando la presencia de paraproteinemia e inmunodeficiencias humorales.
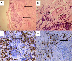
La biopsia de glándula lacrimal derecha evidenció: fibrosis estoriforme, esclerosis estromal, flebitis obliterante e infiltrado inflamatorio (fig. 2A y 2B). Pediatría consideró seudotumor inflamatorio e inició tratamiento con prednisona 50mg/día.
Reumatología valora 9 meses después, con RMN control, que muestra disminución de la glándula lacrimal, la IgG4 sérica era normal. La inmunohistoquímica mostró extenso infiltrado de plasmocitos IgG4+ con una relación IgG4:IgG>40% compatible con dacrioadenitis por ER-IgG4 (fig. 2C y 2D). Se inició tratamiento con azatioprina, como ahorrador de esteroides, logrando mejoría clínica y radiológica sostenida (fig. 1C y D).
DiscusiónLa ER-IgG4 es una entidad fibroinflamatoria, multiorgánica, mediada por la respuesta inmune1, descrita en 1961 en el contexto de pancreatitis asociada a hipergammaglobulinemia, posteriormente se asoció con IgG4 elevada, reconociéndose como enfermedad sistémica desde 2003 cuando se describen las manifestaciones extra-pancreáticas3. La IgG4 es la subclase de IgG menos abundante, es pobre activadora de la vía clásica del complemento y su producción se induce por IL-10 (linfocitos T reguladores y Th2). Aunque el mecanismo fisiopatológico de la ER-IgG4 no está claramente dilucidado, se ha descrito asociaciones con polimorfismos del HLA (HLA DRB1*0405, DQB1*0401 o DQβ1-57), mímica molecular entre Helicobacter pylori y proteínas acinares pancreáticas4, así como IgG4 específica a 17 antígenos de glándulas salivares y lacrimales (análisis de complejos-IgG4) que podría explicar el compromiso preferencial por estos órganos5 (fig. 2).
Biopsia de glándula lacrimal. Tinción hematoxilina-eosina: A) Fibrosis estoriforme y esclerosis estromal, infiltrado inflamatorio crónico (×10); B) Venas con paredes engrosadas con infiltración de sus paredes por células inflamatorias mononucleares causando obliteración de la luz. Tinción de inmunohistoquímica (×40). C) Extenso infiltrado de plasmocitos que expresan CD38 (×40 tinción DAB anti-CD38); D) Plasmocitos que expresan IgG4 (×40 tinción DAB anti-IgG4).
El diagnóstico de la ER-IgG4 se fundamenta en: hallazgos clínico-radiológicos; serológicos (IgG4≥135mg/dl); e histológicos (fibrosis estoriforme, flebitis obliterativa e infiltración tisular >10 plasmocitos IgG4+ por campo de alto poder con una proporción IgG4/IgG>40%6. Este caso cumple con todos los criterios a excepción del serológico, que podría estar ausente por haber recibido esteroides por 9 meses.
La pancreatitis autoinmune es la forma de presentación más común, asociada o no a compromiso extrapancreático, siendo el tejido periorbitario una de las partes más frecuentemente afectadas (hasta el 39% de los casos)7. La ER-IgG4 afecta predominantemente varones, mayores de 50 años, la mayoría de casos descritos son asiáticos, especialmente japoneses, estimándose una prevalencia de 6 casos por cada 100.000 personas8. Encontramos un caso de dacrioadenitis reportado en América Latina, en un estudio de especímenes de biopsia9, pero ninguno en mujeres adolescentes afrodescendientes o población pediátrica. Este es el segundo caso de dacrioadenitis por ER-IgG4 pediátrico reportado en la literatura, antecedido solo por el caso de una niña de 13 años de raza blanca norteamericana10.
Los corticosteroides orales asociados o no con azatioprina o micofenolato mofetilo son el tratamiento de elección. La paciente recibió monoterapia con prednisona durante 9 meses, la adición de azatioprina por parte del servicio de reumatología permitió disminuir la dosis de esteroide logrando respuesta clínica y radiológica satisfactoria.
Responsabilidades éticasProtección de personas y animalesLos autores declaran que los procedimientos seguidos se conformaron a las normas éticas del comité de experimentación humana responsable y de acuerdo con la Asociación Médica Mundial y la Declaración de Helsinki.
Confidencialidad de los datosLos autores declaran que han seguido los protocolos de su centro de trabajo sobre la publicación de datos de pacientes.
Derecho a la privacidad y consentimiento informadoLos autores han obtenido el consentimiento informado de los pacientes y/o sujetos referidos en el artículo. Este documento obra en poder del autor de correspondencia.
Conflicto de interesesLos autores declaran no tener ningún conflicto de intereses.
 
										
				





 
 
		
