Rheumatoid arthritis (RA) is a chronic autoimmune inflammatory disease occasionally associated with severe extra-articular manifestations, mostly in cases of longstanding highly active disease. We report the case of a 56-year-old woman diagnosed with active RA at the age of 40. After 5 years of high activity, her arthritis subsides spontaneously during pregnancy despite the lack of treatment with disease-modifying anti-rheumatic drugs. She remains without articular symptoms for 7 years, and then she develops a Felty's syndrome requiring steroid treatment and splenectomy. Following steroid withdrawal she develops pericarditis with massive serohematic pericardial effusion, still in absence of articular activity, and responds to immunosuppressive therapy and colchicine. We emphasize the unusual spontaneous and sustained joint remission without specific treatment, and the development of severe extra-articular manifestations of RA in absence of concomitant articular activity, as well as the importance of controlling inflammation.
La artritis reumatoide (AR) es una enfermedad autoinmune inflamatoria crónica, que puede ocasionalmente expresarse con manifestaciones extraarticulares graves, particularmente en casos muy activos de larga evolución. Presentamos el caso de una paciente de 56 años, con diagnóstico una AR activa a los 40 años de edad. Tras 5 años de intensa actividad, su artritis remite espontáneamente sin recibir tratamiento específico con fármacos modificadores de la enfermedad, en el curso de su último embarazo. Persiste sin síntomas articulares durante 7 años, más tarde desarrolla un síndrome de Felty que requiere tratamiento con corticoides y esplenectomía. Al suspender los corticoides presenta pericarditis con derrame pericárdico serohemático masivo, también en ausencia de actividad articular, que responde al tratamiento inmunosupresor y colchicina. Destacamos lo inusual de la remisión espontánea prolongada sin tratamiento específico y del desarrollo de manifestaciones extraarticulares graves de la AR en ausencia de actividad articular concomitante, así como la importancia del control de la actividad inflamatoria.
Rheumatoid arthritis (RA) is a chronic, systemic, inflammatory, autoimmune disease. With its fluctuating activity, prolonged remission without treatment is uncommon.1 Up to 40%–50% of the patients develop extra-articular manifestations; however, severe conditions like Felty's syndrome (RA, splenomegaly and neutropenia) and pericarditis are much less common.2–4 They usually arise in cases of longstanding and/or highly active disease.2,4
We report the case of a woman diagnosed with RA who experienced long-term, spontaneous remission of her arthritis that began during a pregnancy, but who, years later, in the absence of inflammatory joint disease, developed Felty's syndrome and, subsequently, massive bloody pericardial effusion.
Case ReportThe patient was a 56-year-old ex-smoker who had been diagnosed with RA at the age of 40 years. She presented with polyarticular involvement, marked morning stiffness and positive rheumatoid factor (RF); had no family history of RA; and had been treated with corticosteroids and anti-inflammatory agents for 5 years. Although her joint activity was persistent and disabling, keeping her bedridden and making it difficult for her to attend to her personal care, she did not receive disease-modifying antirheumatic drugs (DMARD) because she had no access to specialized centers. On experiencing spontaneous remission of the joint manifestations during her last pregnancy, she discontinued her medication. Although she underwent no further clinical or analytical monitoring, she clearly affirms that her symptoms had disappeared.
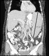
Seven years later, she presented to our department with abdominal pain and distension. We observed massive splenomegaly (Fig. 1) and persistent bicytopenia (hematocrit, 24%; leukocytes, 1000/mm3; neutrophils, 670/mm3). Laboratory results included: erythrocyte sedimentation rate, 97mm/h; RF, 47IU/mL (upper normal limit: 14IU/mL); and anti-mutated citrullinated vimentin (anti-MCV) antibodies≥300U/mL, whereas antinuclear (ANA), anti-native DNA, anti-Smith, anti-ribonucleoprotein, anti-Ro, anti-La and anticardiolipin antibodies were negative, as were cryoglobulins; her complement levels were normal. Serological tests for human immunodeficiency virus and hepatitis B and C viruses were negative. Ultrasound of both hands showed no evidence of synovitis, and radiography revealed few erosions. Biopsy showed reactive bone marrow, with hyperplasia of the granulocytic series, with no neoplastic cells; there were no signs of malignancy on flow cytometry. Given the magnitude of the splenomegaly and the absence of joint activity in recent years, we included splenic lymphoma in the differential diagnosis, and splenectomy was performed. The pathological study revealed a chronic, nonspecific, inflammatory process, and Felty's syndrome was diagnosed. Glucocorticoid therapy was begun with prednisone at 60mg/d, which was tapered over 2 years. This treatment improved the hematological signs (hematocrit, 42%; leukocytes, 3500/mm3; neutrophils, 40%), and the acute phase reactant levels were normalized.
Two weeks after discontinuation of corticosteroid therapy, the patient presented with chest pain, tachypnea and dyspnea, and was found to have massive pericardial effusion (Fig. 2), requiring pericardiocentesis (1400cc of bloody fluid). Culture of the pericardial fluid was negative for common microorganisms and acid- and alcohol-fast bacilli. The pathological finding was nonspecific chronic pericardial sclerosis. Computed tomography of chest, abdomen and pelvis showed no evidence of tuberculosis or neoplasm. Treatment was begun with colchicine and prednisone at 40mg/d, and subsequently with azathioprine at 150mg/d, and the pericardial effusion completely resolved. The prednisone dose was tapered over 2 years. At no time during the aforementioned systemic processes did the patient show signs of active arthritis or radiographic evidence of notable joint destruction.
At the age of 56 years, 2 months after discontinuation of steroid therapy, the patient experienced a flare of joint symptoms, and Doppler ultrasound confirmed active polyarticular synovitis. Anti-MCV antibodies were ≥300U/mL and anti-cyclic citrullinated peptide antibodies were >200U/mL. Corticosteroid therapy was reinitiated and azathioprine was replaced by methotrexate, with a good response.
DiscussionRheumatoid arthritis offers a wide spectrum of clinical features. The rate of remission of RA ranges between 7% and 32% in different studies, most of which dealt with early arthritis patients.1,5,6 In contrast, in established RA, long-term, treatment-free remission is rare.1 Moreover, in the case we present here, there were a number of factors associated with a low probability of remission, including an initial prolonged period of aggressive arthritis, a lack of specific DMARD therapy, tobacco use and RF positivity.5,6
In this case, spontaneous remission developed during a pregnancy. In the majority of patients, disease activity is reported to remit, only to return during the postpartum. However, the course varies widely, with complete remission being rare,6–8 and the disappearance of the symptoms for years, without medication, following pregnancy is uncommon.
Marked disability during the first 2 years of the disease together with tobacco use and RF positivity have been recognized as strong predictors of the future development of severe extra-articular manifestations.9 All these risk factors could be found in our patient. However, what is particularly unusual in this case is the silent manner in which the disease continued its development after her last pregnancy, with no clinically evident activity over a 7-year period, only to flare up after that in the form of Felty's syndrome. This leads us to suspect that the inflammatory process remained active despite the absence of clinical expression. Felty's syndrome is observed in less than 1% of the patients with RA,3,9 and is associated with high rates of morbidity and mortality. The classic triad of splenomegaly, neutropenia and RA that define it are frequently accompanied, as in our patient, by leukopenia, anemia, RF positivity and longstanding RA. However, other common findings, not observed in this case, include a family history of RA, positive ANA, hypocomplementemia and marked joint destruction, although inflammation may be only moderate or may eventually even disappear.4,10 The syndrome is usually associated with HLA-DR4*0401.4 Large granular lymphocyte expansion was ruled out because of the absence both of peripheral blood and bone marrow lymphocytosis, and of clonal expansion of atypical lymphocytes.4 Felty's syndrome is usually associated with other extra-articular manifestations, especially rheumatoid nodules, which were not present in our patient. However, she did develop pericarditis, an uncommon finding in RA patients (2%–3%),2,3 in this case, with massive bloody pericardial effusion.
ConclusionThe manifestations of RA can be protean. In this report, we stress the unusual course of the disease, especially the prolonged remission without treatment, commencing during a pregnancy, despite the absence of predictors of remission, as well as the development of uncommon extra-articular complications as serious as Felty's syndrome and pericarditis with massive pericardial effusion, in the absence of concomitant joint activity. Clinical management, control of systemic inflammatory activity, decision-making and the establishment of differential diagnoses constitute a challenge in the care of these patients.
Ethical DisclosuresProtection of human and animal subjectsThe authors declare that no experiments were performed on humans or animals for this study.
Confidentiality of dataThe authors declare that they have followed the protocols of their work center on the publication of patient data.
Right to privacy and informed consentThe authors have obtained the written informed consent of the patients or subjects mentioned in the article. The corresponding author is in possession of this document.
Conflicts of InterestThe authors declare they have no conflicts of interest.
Please cite this article as: Lagrutta M, Alle G, Parodi RL, Greca AA. Manifestaciones extraarticulares graves de artritis reumatoide en ausencia de artritis activa, tras remisión espontánea sostenida. Presentación de un caso. Reumatol Clin. 2016;12:223–225.





