La artritis reumatoide (AR) es una enfermedad autoinmune inflamatoria crónica, que puede ocasionalmente expresarse con manifestaciones extraarticulares graves, particularmente en casos muy activos de larga evolución. Presentamos el caso de una paciente de 56 años, con diagnóstico una AR activa a los 40 años de edad. Tras 5 años de intensa actividad, su artritis remite espontáneamente sin recibir tratamiento específico con fármacos modificadores de la enfermedad, en el curso de su último embarazo. Persiste sin síntomas articulares durante 7 años, más tarde desarrolla un síndrome de Felty que requiere tratamiento con corticoides y esplenectomía. Al suspender los corticoides presenta pericarditis con derrame pericárdico serohemático masivo, también en ausencia de actividad articular, que responde al tratamiento inmunosupresor y colchicina. Destacamos lo inusual de la remisión espontánea prolongada sin tratamiento específico y del desarrollo de manifestaciones extraarticulares graves de la AR en ausencia de actividad articular concomitante, así como la importancia del control de la actividad inflamatoria.
Rheumatoid arthritis (RA) is a chronic autoimmune inflammatory disease occasionally associated with severe extra-articular manifestations, mostly in cases of longstanding highly active disease. We report the case of a 56 year-old woman diagnosed with active RA at the age of 40. After 5 years of high activity, her arthritis subsides spontaneously during pregnancy despite the lack of treatment with disease-modifying anti-rheumatic drugs. She remains without articular symptoms for 7 years, and then she develops a Felty's syndrome requiring steroid treatment and splenectomy. Following steroid withdrawal she develops pericarditis with massive serohematic pericardial effusion, still in absence of articular activity, and responds to immunosuppressive therapy and colchicine. We emphasize the unusual spontaneous and sustained joint remission without specific treatment, and the development of severe extra-articular manifestations of RA in absence of concomitant articular activity, as well as the importance of controlling inflammation.
La artritis reumatoide (AR) es una enfermedad inflamatoria autoinmune sistémica de curso crónico y fluctuante, siendo su remisión prolongada excepcional sin tratamiento1. Las manifestaciones extraarticulares se presentan hasta en un 40-50%; sin embargo, aquellas graves como el síndrome de Felty (AR, esplenomegalia y neutropenia) y la pericarditis son mucho menos frecuentes2-4. Suelen aparecer en casos de larga evolución y enfermedad muy activa2,4.
Presentamos el caso de una paciente con diagnóstico de AR que presentó remisión espontánea y sostenida de su artritis a partir de un embarazo y años más tarde, en ausencia de actividad inflamatoria articular, desarrolla un síndrome de Felty y posteriormente un derrame pericárdico serohemático masivo.
Caso clínicoMujer de 56 años, exfumadora, con diagnóstico de AR a los 40 años, con afectación poliarticular, marcada rigidez matinal y factor reumatoideo (FR) positivo. Sin antecedentes familiares de AR. Recibió tratamiento con corticoides y antiinflamatorios no esteroideos por 5 años. A pesar de persistir con actividad articular sostenida e incapacitante, que la obligaba a permanecer en cama y dificultaba incluso el aseo personal, no recibió fármacos modificadores de la enfermedad (DMARD) por falta de acceso a centros especializados. Presentó remisión espontánea de las manifestaciones articulares durante su último embarazo, por lo que suspendió el tratamiento. La paciente no realizó controles clínicos ni analíticos en los años posteriores, pero manifiesta claramente que desaparecieron sus síntomas.
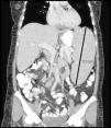
Tras permanecer 7 años asintomática, consulta a nuestro servicio por dolor y distensión abdominal. Se constata esplenomegalia masiva (fig. 1) y bicitopenia persistente (hematocrito 24%; leucocitos: 1.000/mm3, neutrófilos 670/mm3). Analítica: velocidad de sedimentación globular 97mm en primera hora, FR de 47 UI/ml (LSN: 14 UI/ml) y anticuerpo antivimentina citrulinada mutada (anti-VCM)≥300 U/ml, con ANA, anti-DNAn, anti-Smith, anti-RNP, anti-Ro, anti-La, anticuerpos anticardiolipinas y crioglobulinas negativas, y normocomplementemia. Serologías virales para virus de la inmunodeficiencia humana y virus de hepatitis B y C, negativas. Ecografía de ambas manos sin signos de sinovitis. Radiografías con escasas erosiones. Biopsia de médula ósea reactiva, con hiperplasia de la serie granulocítica, sin células neoplásicas, y citometría de flujo sin signos de malignidad. Debido a la magnitud de la esplenomegalia y a la ausencia de actividad articular en los últimos años, se considera entre otros diagnósticos diferenciales al linfoma esplénico, por lo que se realiza esplenectomía. El examen anatomopatológico evidencia un proceso inflamatorio crónico inespecífico. Se arriba al diagnóstico de síndrome de Felty. Tras la esplenectomía se realiza tratamiento con glucocorticoides. Inicia con 60mg/d de prednisona, reduciendo lentamente la dosis gradualmente en 2 años. Logra mejoría del cuadro hematológico (hematocrito 42%; leucocitos: 3.500/mm3, neutrófilos 40%) y normalización de los reactantes de fase aguda.
A las 2 semanas de haber suspendido los corticoides, presenta dolor torácico, taquipnea y disnea, constatándose derrame pericárdico masivo (fig. 2) y requerimiento de pericardiocentesis (1.400 cc de líquido serohemático). Cultivo de líquido pericárdico: negativo para gérmenes comunes y bacilos ácido-alcohol resistentes. Anatomía patológica: pericarditis crónica esclerosa inespecífica. La tomografía computarizada de tórax, abdomen y pelvis no mostraron imágenes patológicas compatibles con tuberculosis ni con neoplasias. Realiza tratamiento con colchicina y prednisona 40mg/día, y posteriormente azatioprina 150mg/día, con resolución completa del derrame pericárdico. Se redujo lentamente la dosis de prednisona durante 2 años. Destacamos que la paciente no presentó signos clínicos ni ecográficos de artritis activa durante los procesos sistémicos relatados, ni destrucción articular radiográfica importante.
A los 56 años, 2 meses después de la suspensión del tratamiento esteroideo, la paciente presenta un brote articular, confirmándose en el eco-Doppler la sinovitis activa poliarticular. Anticuerpo anti-VCM≥300 U/ml y antipéptido citrulinado cíclico>200 U/ml. Reinicia tratamiento con corticoides y se cambia azatioprina por metotrexato, con buena respuesta.
DiscusiónEl espectro clínico de los pacientes con AR es amplio. La frecuencia de remisión en AR varía en entre un 7 y un 32% en diferentes estudios, abarcando en su mayoría pacientes con artritis temprana1,5,6. En la enfermedad establecida, en cambio, la remisión sostenida sin tratamiento es rara1. Destacamos que nuestra paciente presentaba múltiples factores asociados a escasa probabilidad de remisión, como una artritis inicial agresiva y prolongada, la falta de tratamiento específico con DMARD, el tabaquismo y la positividad del FR5,6.
La remisión espontánea en este caso se inició en el curso del embarazo. Se reporta que en la mayoría de los pacientes remite la actividad de la enfermedad para deteriorarse nuevamente en el posparto. Sin embargo, la variabilidad es amplia y la remisión completa es rara6-8, siendo la permanencia sin síntomas y sin medicación durante años luego del embarazo una evolución inhabitual.
La importante discapacidad durante los 2 primeros años de la enfermedad, así como el tabaquismo y la positividad del FR, fueron reconocidos como fuertes predictores del desarrollo posterior de manifestaciones extraarticulares graves9. La paciente reunía todos estos factores de riesgo. Sin embargo, lo particularmente inusual de este caso es la forma silente con la que evolucionó su enfermedad tras su último embarazo, sin actividad clínicamente evidente a lo largo de 7 años, para irrumpir posteriormente con un síndrome de Felty. Esto nos hace sospechar que el proceso inflamatorio permanecía activo a pesar de la falta de expresión clínica. El síndrome de Felty se observa en menos del 1% de los pacientes con la enfermedad3,9 y se asocia alta morbimortalidad. La tríada clásica de esplenomegalia, neutropenia y AR que lo definen se acompañan frecuentemente, como en esta paciente, de leucopenia, anemia, FR positivo y AR de larga evolución. Sin embargo, a diferencia de este caso, es frecuente la presencia de historia familiar de AR, ANA positivos e hipocomplementemia, y la destrucción articular suele ser importante, aunque el grado de inflamación sea moderado o eventualmente esté ausente4,10. Suele asociarse a HLA-DR4*04014. Se descartó la expansión de linfocitos granulares grandes por la ausencia de linfocitosis periférica y medular, y ausencia de expansión clonal de linfocitos atípicos4. El síndrome de Felty suele asociarse a otras manifestaciones extraarticulares, en particular a nódulos reumatoideos, ausentes en nuestra paciente. En este caso, presentó una pericarditis, manifestación infrecuente en pacientes con AR (2 a 3%)2,3, en este caso con derrame pericárdico serohemático masivo.
ConclusiónLas manifestaciones de la AR pueden ser proteiformes. Destacamos en esta comunicación las particularidades de una evolución inusual, especialmente la remisión prolongada sin tratamiento a partir del embarazo, en ausencia de predictores de remisión, así como los compromisos extraarticulares serios de infrecuente presentación como el síndrome de Felty y la pericarditis con derrame pericárdico masivo, en ausencia de actividad articular concomitante. El manejo clínico, el control de la actividad inflamatoria sistémica, la toma de decisiones y el planteamiento de diagnósticos diferenciales constituyen un desafío en la atención de estos pacientes.
Responsabilidades éticasProtección de personas y animalesLos autores declaran que para esta investigación no se han realizado experimentos en seres humanos ni en animales.
Confidencialidad de los datosLos autores declaran que han seguido los protocolos de su centro de trabajo sobre la publicación de datos de pacientes.
Derecho a la privacidad y consentimiento informadoLos autores han obtenido el consentimiento informado de los pacientes y/o sujetos referidos en el artículo. Este documento obra en poder del autor de correspondencia.
Conflicto de interesesLos autores declaran no tener ningún conflicto de intereses.





