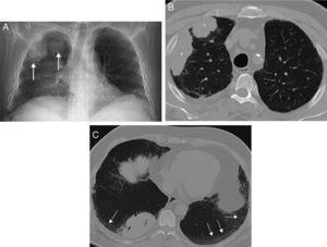
We present the case of a 66 year-old patient who presented at surgery with dyspnoea. A chest X-ray revealed multiple opacities in the right lung (Fig. 1A). Of note in the patient's medical history was high blood pressure, type 1 diabetes mellitus (both controlled), and nonspecific interstitial pneumonia (NSIP) which had been confirmed several years previously by means of a biopsy. Computerised tomography (CT) of the chest confirmed the presence of multiple right lung masses (Fig. 1B), with aerial bronchogram, with no pleural or lymph node effusion, and with interstitial involvement (Fig. 1C). Transbronchial biopsy confirmed high grade diffuse large B-cell non-Hodgkin lymphoma (DLBCL). Positron emission tomography/CT (PET/CT) ruled out other tumours. The patient was treated with chemotherapy (R-CHOP regimen), with complete response after 6 cycles.
(A) Posteroanterior X-ray of the chest in which several nodular opacities are observed in the right lung (arrow). Note the presence of a subtle bibasal enlargement of the lung interstitium. (B) Axial image of chest CT which confirms the presence of right lung masses (asterisks). (C) Axial image of chest CT (minimum intensity projection) in which a bibasal lung interstitium reticulation (arrows) may be observed in relation to the patient's interstitial lung disease. Note the presence of small traction bronchiectasis.
Lung DLBCL is a rare subtype of primary lung lymphoma (PLL) which may be associated with states of immunosuppression (infection by human immunodeficiency virus, common variable immunodeficiency), a tobacco habit and autoimmune diseases.1 Of the latter, Sjögren's syndrome and rheumatoid arthritis are the most common. Our case is interesting since none of the described associations presented, but NSIP did. NSIP may be idiopathic or secondary (among other causes) to autoimmune diseases. In order of frequency the following are of note: systemic sclerosis, polymiosytis/dermatomyositis and mixed connective tissue disease. Interstitial lung diseases which may be complicated with cancer are the usual interstitial penumonitis2 (bronchogenic carcinoma) and lymphoid interstitial pneumonitis3 (PLL, particularly in patients with Sjögren syndrome), but no descriptions of lung DLBCL associated with an NSIP have been found.
Ethical DisclosuresProtection of human and animal subjectsThe authors declare that for this research no experimentation has been carried out on human beings or animals.
Confidentiality of dataThe authors declare that no patient data appear in this article.
Right to privacy and informed consentThe authors declare that no patient data appear in this article.
Conflict of InterestsThe authors have no conflicts of interests to declare.
Please cite this article as: Gorospe Sarasúa L, Arrieta P, Chinea-Rodríguez A, de la Puente-Bujidos C. Linfoma difuso de células B grandes pulmonar en paciente con neumonía intersticial no específica. Reumatol Clin. 2019;15:e151–e152.




