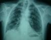
Varón de 71 años, ex fumador de 20 paquetes/año. No refería viajes al extranjero, contactos con animales ni otros antecedentes de interés. La clínica se inició con un cuadro de debilidad muscular en las cinturas escapular y pelviana. Con el diagnóstico de polimialgia reumática, se pautó tratamiento con 0,3mg/kg/día de metilprednisolona. El paciente acudió 6 semanas después por fiebre, disnea, tos no productiva y dolor pleurítico costal. Esto se acompañaba de artralgias simétricas en las muñecas y los tobillos. En la exploración destacó mal estado general y fiebre de 38,5°C, taquicardia de 110 latidos por minuto, taquipnea de 30 respiraciones por minuto y estertores crepitantes secos bilaterales. Presentaba mínima inflamación de ambas muñecas y fenómeno de Raynaud en las palmas (fig. 1). La analítica mostró recuento de leucocitos de 11.280×103/μl, de neutrófilos de 8.800×103/μl, lactato-deshidrogenasa de 1.160U/l, aspartato-aminotransferasa de 93U/l, alanino-aminotransferasa de 110U/l, fosfatasa alcalina de 100U/l, gamma-glutamiltransferasa de 135U/l y velocidad de sedimentación globular de 79mm/1.ah. Las enzimas creatin-cinasa y creatin-cinasa isoenzima MB, troponina i, mioglobina y aldolasa se encontraban dentro de los límites normales, así como la hemostasia. La gasometría era compatible con insuficiencia respiratoria parcial. En la radiografía de tórax (fig. 2) se apreció un patrón intersticial bilateral difuso de predominio en el pulmón derecho. El paciente ingresó con el diagnóstico inicial de neumopatía intersticial de posible causa infecciosa. Se pautó ceftriaxona y doxiciclina, con mala evolución inicial, por lo que se solicitó broncoscopia y tomografia axial computarizada de alta resolución. Los cultivos repetidos de sangre y esputo para bacterias, micobacterias y hongos fueron negativos, así como las serologías de bacterias atípicas. El lavado broncoalveolar con aspirado bronquial mostró componente inflamatorio neutrofílico.
La tomografia axial computarizada de alta resolución fue informada como enfermedad intersticial difusa de predominio periférico en relación con probable neumonía organizada criptogenética (NOC) (fig. 3). Se recibieron los autoanticuerpos, que aclararon el diagnóstico: anticuerpos anti-Jo1 de 376U/ml [N: 0–80], antinucleares 1/320, factor reumatoide 41,8U/ml. Iniciamos tratamiento con metilprednisolona (1mg/kg/día). El estudio electromiográfico fue normal y la espirometría manifestó un patrón restrictivo moderado con la capacidad de difusión del monóxido de carbono disminuida.
DiagnósticoSíndrome antisintetasa (SAS) con NOC.
EvoluciónLa respuesta a los glucocorticoides fue buena, con mejoría de la clínica respiratoria, muscular y defervescencia a las 72h. Fue dado de alta con 1mg/kg/día de metilprednisolona y 0,75mg/kg/día de azatioprina. En los controles ambulatorios posteriores, el paciente estaba asintomático, con resolución radiológica.
DiscusiónEl SAS es un trastorno con una incidencia aproximada de 1,25–2,50 casos por millón de habitantes1. El SAS esta incluido dentro de las miopatías inflamatorias idiopáticas con afectación pulmonar. Entre las posibles hipótesis de su patogenia destacan la teoría viral, basada en el estímulo inmunitario producido por la familia de los picornavirus, y la explicación inmunológica fundamentada en los linfocitos T CD8+ y los macrófagos1.
La semiología clínica es bastante homogénea. La manifestación más frecuente es la enfermedad pulmonar intersticial difusa, presente en el 70% de los pacientes2 con diferentes patrones: neumonía intersticial inespecífica, neumonía intersticial usual y NOC, la cual presenta mejor pronóstico3. Otras manifestaciones del SAS son fiebre, miositis, poliartritis, fenómeno de Raynaud y manos de mecánico, que es una afectación cutánea característica de esta dolencia4. A pesar de la evidente clínica muscular, nuestro paciente no presentó elevación de enzimas específicas de daño muscular (descrito en el 5% de los casos) y el electromiograma fue normal (el 11% de pacientes)1.
Los anticuerpos antisintetasa, con una elevada especificidad, son una condición necesaria para el diagnóstico de esta enfermedad. Por este motivo, ante el inicio de una enfermedad intersticial pulmonar, o durante su evolución, si no se establece un diagnostico definitivo, se recomienda su determinación, así como en enfermos con sospecha de conectivopatía no confirmada5.
El tratamiento óptimo no está bien establecido. La base terapéutica son los glucocorticoides junto con los inmunosupresores (azatioprina, metotrexato, ciclofosfamida, etc.). Los pacientes con SAS tienen en general mejor pronóstico que otras enfermedades intersticiales pulmonares, siendo la afectación pulmonar el factor clínico más determinante6.
Como conclusión, señalamos la necesidad de una visión integral en los pacientes con afectación pulmonar intersticial, dado que las claves para un correcto diagnóstico pueden radicar en ocasiones en la clínica extrapulmonar.






