Las displasias espondiloepifisiarias representan un grupo de displasias óseas que afectan tanto al esqueleto axial como al esqueleto apendicular, que tienen un origen genético y que se caracterizan por irregularidades en las epífisis y deformidad de los cuerpos vertebrales.
Se presenta un caso de un varón de edad media, con datos clínicos y radiológicos que sugieren displasia espondiloepifisiaria tarda.
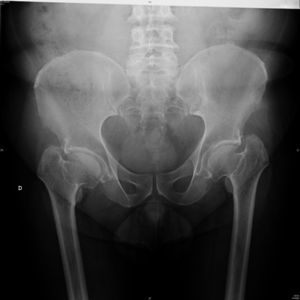
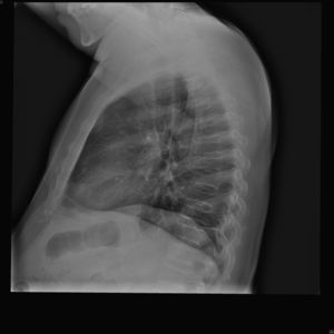
Caso clínicoVarón de 59 años con antecedente personal de diabetes mellitus tipo 2 en tratamiento con antidiabéticos orales, que acude a consulta de Reumatología por dolor inguinal bilateral y dorsolumbalgia de intensidad dolorosa progresiva, ambos de ritmo mecánico, que el paciente califica de muy intenso y que desencadenan dificultad progresiva para la deambulación; y por episodios de disnea de moderados esfuerzos, cuyo origen, estudiado por Neumología, era debido a dificultades en la expansión torácica. El cuadro doloroso no había presentado una respuesta satisfactoria a antiinflamatorios no esteroideos ni a opiáceos menores. En la exploración física se observa talla de 146cm, marcada cifosis dorsal, obesidad troncular, limitación importante para la flexoextensión y las rotaciones de ambas articulaciones coxofemorales, y braquidactilia en ambas manos. Hemograma y bioquímica sanguínea con valores normales. El estudio radiológico convencional de columna dorsolumbar, anteroposterior de pelvis y posteroanterior de manos se muestran en las figuras 1 a 4.
El paciente descrito presenta datos que sugieren una displasia espondiloepifisiaria tarda. Esta entidad tiene una herencia recesiva ligada al cromosoma X1, estando por lo tanto afectados sólo los varones. Se han descrito mutaciones en el gen SELD en el cromosoma Xp22.12-p 23.311. El diagnóstico se realiza entre los 5 y los 10 años de edad, cursando con enanismo de tronco corto; esto es, retraso en el crecimiento de la columna vertebral con una talla media final de 145cm y desproporción entre la longitud de las extremidades y el tronco2,3. La articulación coxofemoral está siempre afectada en coxa vara con aplanamiento leve de las epífisis, que conducen a cambios artrósicos precoces, y que pueden, en estadios más avanzados, incapacitar al paciente2–4. A nivel axial se describen cambios displásicos vertebrales con platiespondilia, que provocan cifosis progresiva4–6 con aumento del diámetro anteroposterior del tórax, y que en último término puede provocar episodios de disnea. No aparece retraso mental, se han descrito formas familiares con asociación a condrocalcinosis7,8 y existe una forma de displasia espondiloepifisiaria tarda asociada a artropatía degenerativa precoz, que puede simular artritis reumatoide juvenil9.
El paciente incluido en el estudio ha recibido información suficiente y ha dado su consentimiento informado por escrito para participar en el mismo.







