El complejo ligamentoso escafosemilunar es un conjunto de ligamentos que proporcionan unión entre el hueso escafoides y semilunar del carpo. Se divide en 3componentes: dorsal, volar y estabilizadores secundarios. De estos, el dorsal es el más grueso y fuerte, y su rotura es la más importante clínica y biomecánicamente1. Su rotura es secundaria a traumatismos, aunque también puede romperse de forma atraumática en la gota crónica. El diagnóstico suele demorarse, dado que es un hallazgo infradiagnosticado clínica y radiológicamente por su inespecificidad: la radiografía simple puede ser normal en el momento agudo2 es la prueba de elección. Con el tiempo, se produce una diástasis entre el semilunar y el escafoides mayor de 3mm en la radiografía simple de muñeca posteroanterior3. Esta condición predispone al desarrollo de una artrosis precoz de muñeca secundaria a inestabilidad del carpo, siguiendo un patrón conocido como muñeca SLAC («colapso escafosemilunar avanzado», en inglés ScaphoLunate Advanced Collapse)4. La caracterización completa de grado y gravedad de la lesión ligamentosa se evalúa con resonancia magnética de muñeca4,5. Con base en la edad y actividad del paciente, se puede plantear actitud conservadora o quirúrgica3,6.
El caso presentado es el de un varón zurdo de 30 años que acudió a consulta por episodios de dolor crónico intermitente en la cara dorsal de la muñeca izquierda, que cedía parcialmente tras la toma de antiinflamatorios. El cuadro comenzó a raíz de una caída accidental desde su altura 2años antes, por la que no consultó. Se realizó una radiografía de muñeca posteroanterior, en la que se objetivó una diástasis escafosemilunar de 3,5mm y una subluxación rotatoria del escafoides (fig. 1). Se completó el estudio con ecografía y resonancia magnética (figs. 2 y 3), que demostraron una rotura completa del componente dorsal del ligamento escafosemilunar. El paciente fue derivado a consultas de la Unidad de la Mano, donde se decidió el tratamiento quirúrgico con ligamentoplastia artroscópica.
Radiografía simple posteroanterior de muñeca izquierda (A) con detalle magnificado (B). Se objetiva una diástasis significativa entre el hueso semilunar y escafoides del carpo (flecha de doble cabeza), que en la medición manual fue de 3,5mm. Además, se aprecia una subluxación rotatoria del hueso escafoides (B), que es un indicador indirecto de lesión del ligamento escafosemilunar, aunque es visible en otras lesiones de diferentes estabilizadores de la muñeca.
Imágenes de ecografía de muñeca con sonda lineal de alta frecuencia; abordaje dorsal. En la exploración estática (imagen izquierda), el espacio escafosemilunar impresiona de conservado, aunque se intuye una cierta hipoecogenicidad del ligamento escafosemilunar. Sin embargo, en la exploración dinámica (imagen derecha) se objetiva una marcada hipoecogenicidad con diástasis significativa escafosemilunar, sin identificar el ligamento con definición, en el contexto de su rotura.
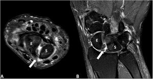
Resonancia magnética. Imágenes axial (A) y coronal (B) de la muñeca izquierda en secuencias potenciadas en T2 con supresión grasa (SPAIR). Se objetiva una rotura completa de la porción dorsal del ligamento escafosemilunar (flecha) que produce una diástasis significativa entre el hueso escafoides (E) y el semilunar (S) con mínima cantidad de derrame y signos de sinovitis. No se objetivan focos de señal de resonancia similar a edema óseo que sugieran inflamación/artritis ni cambios artrósicos significativos.
El ligamento escafosemilunar es un elemento fundamental en la estabilidad de la muñeca. Su rotura no es especialmente infrecuente y suele tener representación en todas las pruebas de imagen. Por tanto, todos los especialistas implicados en el manejo de estos pacientes deben estar familiarizados con la semiología radiológica de esta entidad.
Conflictos de interésNinguno de los autores tiene ningún conflicto de interés que desglosar.






