Enfermera de 42 años, diestra, que consultó por un cuadro de 4 meses de evolución de parestesias en el primer, el segundo y el tercer dedos de la mano izquierda, dependiente de la realización de movimientos de flexión del carpo o de aprehensión de objetos con los dedos. Refería notar recientemente la presencia de un bulto en la región ventral del antebrazo ipsolateral.
La paciente no cuenta con antecedentes médicos relevantes.
El examen físico de la mano era normal, sin signos distróficos. Los pulsos y el llenado capilar eran normales. La fuerza y la sensibilidad estaban inalteradas. Presentaba Tinel y Phalen negativos. En el antebrazo se palpaba una masa blanda, indolora, redondeada,0 en el tercio proximal de la cara ventral, que no se desplazaba con los movimientos de la muñeca.
Analíticamente, presentaba reactantes de fase aguda normales y perfil tiroideo normal, sin otros hallazgos analíticos destacables.
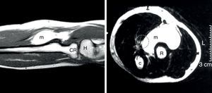
Se realizaron una ecografía de carpo comparativa, que fue rigurosamente normal, y una ecografía del codo y el antebrazo, que mostraba una masa fusiforme de 4,9×1,9cm, sin evidenciarse contacto con estructuras óseas, musculares ni tendinosas (fig. 1). Una RM demostró la presencia de una estructura que rodeaba anteriormente al tendón del bíceps de 5cm en sentido craneocaudal por 1,8 anteroposterior por 1cm en sentido transversal. La lesión presentaba un aumento de intensidad de la señal en las secuencias potenciadas en T1 y en T2, y suprimida en la secuencia de supresión grasa (fig. 2).
Resonancia magnética de antebrazo en T2. Izquierda: aspecto longitudinal donde se observa la masa anterior al radio. Derecha: corte transversal que demuestra la masa provocando un desplazamiento del área teórica por donde discurre el nervio mediano (circulo punteado). c: cúbito; CR: cabeza del radio; H: húmero; m: masa; R: radio.
Se practicó una exéresis completa de la lesión, con posterior resolución completa de la sintomatología. El estudio de anatomía patológica informó la lesión como lipoma.
DiscusiónLas parestesias en territorios típicos de inervación del nervio mediano inducen a la sospecha clínica de una compresión carpiana de este nervio, conocida como el síndrome del túnel del carpo (STC). El STC predominantemente afecta al carpo de la mano dominante1. Inicialmente, cursa con clínica de parestesias en el primer, el segundo y el tercer dedos, mientras que en estadios avanzados puede presentar alteraciones motoras que se correlacionan con lesiones demostrables por electromiografía2,3.
Característicamente, el STC se manifiesta por las noches, aliviándose habitualmente con movimientos de sacudida de la mano. Esto hace que una de las terapias no farmacológicas se base en la colocación de férulas carpometacarpofalángicas nocturnas que fijen el carpo en posición fisiológica durante el sueño4,5.
En el caso de nuestra paciente, la anamnesis sugería un STC con una exploración de la mano con Phalen y Tinel negativos. Hasta un 90% de los pacientes diagnosticados de síndrome de túnel del carpo presentan una sintomatología similar a la de la paciente (compromiso sensitivo del primer, el segundo y el tercer dedos), mientras que el signo de Tinel y Phalen tienen una sensibilidad entre el 48-73% y el 67-83%, con lo que su ausencia no descarta el diagnóstico. Por otro lado, la presencia de lipomas en el antebrazo ha sido descrita anecdóticamente en el antebrazo, sin haberse documentado ningún caso con clínica compatible al STC1. Este caso no contradice los conocimientos existentes sobre las lesiones del nervio mediano, sino que ilustra una compresión en una región del mismo extremadamente infrecuente. Si bien el punto de compresión más frecuente del nervio mediano está en el carpo, deben considerarse otros posibles puntos de compresión proximales al carpo cuando la exploración física no respalda la sospecha y máxime cuando la exploración ecográfica del carpo es normal3,6-8. Son estos los casos en los que la realización de una ecografía del antebrazo y del codo o una RM permiten identificar una compresión extracarpiana en la que el agente etiológico puede ser un lipoma, tal y como ha sido descrito esporádicamente en la literatura y por lo cual ambas pruebas deben ser consideradas dentro del estudio7,9. Otras lesiones que junto con los lipomas, pueden originar una compresión nerviosa, tanto en el carpo como en regiones ventrales del antebrazo, y que clínicamente se comporten como un STC son los hamartomas, los sarcomas y los tumores óseos6,8,9.
Conflicto de interesesLos autores declaran no tener ningún conflicto de intereses.





