Mujer de 65 años que acudió al Servicio de Urgencias por dolor continuo y tumefacción en el margen dorsal cubital de la quinta articulación metacarpofalángica derecha, de 4 días de evolución. La paciente no tuvo sintomatología similar en el resto de las articulaciones de las manos, así como tampoco en el resto del esqueleto.
Al inicio de los síntomas, la paciente se presentó en la consulta de su médico de cabecera, que le pautó antibióticos, pero al no notar mejoría, acudió al Servicio de Urgencias. En el interrogatorio, no refirió enfermedades conocidas, ni antecedentes traumáticos; tampoco tenía sensación distérmica, ni se registró fiebre. Ante la ausencia de antecedentes y al tratarse de una afectación monoarticular, el médico de urgencias se planteó descartar un origen infeccioso, para lo que solicitó una ecografía articular con punción del derrame, si lo hubiera, para análisis microbiológico.
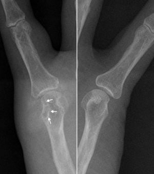
En la ecografía no se evidenció derrame, pero sí una lesión de las partes blandas, parcialmente definida, y de ecoestructura heterogénea, con áreas hiperecoicas. La tumoración estaba en contacto con la cortical ósea del metacarpiano, que se mantenía intacta, salvo en una zona donde se objetivó una franca erosión, con la lesión de partes blandas proyectándose dentro de la cavidad medular (fig. 1). Ante los hallazgos de la ecografía, se analizó la radiografía, que confirmó el aumento de las partes blandas periarticulares, con muy alta densidad, acompañado de erosión en la cabeza del metacarpiano, que como dato característico tenía un margen escleroso (fig. 2). Estos hallazgos ecográficos y radiográficos indicaron un tofo gotoso periarticular con erosión ósea asociada. La punción ecoguiada del posible tofo mostró un material denso blanquecino, que al microscopio de luz polarizada puso de manifiesto los cristales de urato monosódico (fig. 3).
Radiografías centradas en la quinta articulación metacarpofalángica de ambas manos que permite valorar comparativamente la erosión ósea de margen escleroso (flechas) con el aumento de las partes blandas, de alta densidad, en la vertiente medial de la cabeza del metacarpiano derecho. No hay afectación del espacio articular.
En la sospecha clínica inicial no se consideró la gota porque la afectación en la mano no es una localización habitual (es más frecuente en los pies —primera metatarsofalángica—, seguida del tarso, los tobillos y las rodillas) y porque la paciente no presentó ninguna de las afecciones (alcoholismo, diabetes mellitus, hipertensión arterial sistémica, insuficiencia renal o empleo de fármacos hiperuricemiantes como los diuréticos) que se asocian con frecuencia a la gota. Además, en los Servicios de Urgencias, la artritis infecciosa viene considerándose como el prototipo de enfermedad monoarticular aguda frente a otras enfermedades más comunes como la gota, la cual cursa típicamente con ataques recurrentes de monoartritis1–3.
Responsabilidades éticasProtección de personas y animalesLos autores declaran que para esta investigación no se han realizado experimentos en seres humanos ni en animales.
Confidencialidad de los datosLos autores declaran que en este artículo no aparecen datos de pacientes.
Derecho a la privacidad y consentimiento informadoLos autores declaran que en este artículo no aparecen datos de pacientes.
Conflicto de interesesLos autores declaran no tener ningún conflicto de intereses.






