La enfermedad de Behçet (EB) es una vasculitis oclusiva recidivante crónica, de etiología desconocida, que se caracteriza por la presencia de úlceras orales, úlceras genitales e inflamación intraocular, con menos frecuencia afectación cutánea, articular, vascular, digestiva y neurológica1.
La presencia de manifestaciones neurológicas en el contexto de una EB constituye lo que se denomina neurobehçet, caracterizado en la mayoría de los casos por la presencia de meningitis aséptica, signos cerebelosos, hipertensión intracraneal y alteraciones piramidales2. Describimos el caso de un varón de 34 años, con antecedente de EB, que presentó alteración del estado de consciencia y signos meníngeos; se estableció el diagnóstico de neurobehçet y se obtuvo una respuesta clínica favorable al tratamiento con triple terapia inmunomoduladora.
Se trata de un varón de 34 años, natural de España, con EB, en quien se estableció el diagnóstico por la presencia de úlceras orales, genitales y episodios repetitivos de uveítis anterior 3 años atrás; se encontraba en tratamiento con prednisona a dosis de 5mg/día y ciclosporina A. Ingresa al servicio de urgencias por haber presentado 24 h antes un episodio autolimitado de pérdida de consciencia y posteriormente cefalea y vómitos. El examen físico general y las constantes vitales fueron normales, salvo por la presencia de rigidez nucal en la exploración neurológica. No se evidenció actividad de la enfermedad al momento de la evaluación inicial.
Se ordenó aislamiento inverso por sospecha de síndrome meníngeo secundario infección intracraneal en paciente inmunosuprimido. Durante la observación en el servicio de urgencias se realizó un hemograma, que mostró recuento leucocitario de 4.130 E9/l sin desviación izquierda, hemoglobina 11,5mg/dl, hematocrito 36%; velocidad de sedimentación globular 12mm/h; lactato deshidrogenasa 97 U/l; proteínas totales 6.2g/l y albúmina 3g/l, y tomografía computarizada craneal sin alteraciones estructurales significativas.
En concordancia con la clínica de cefalea y meningismo, se realizó una punción lumbar, no concluyente por técnica traumática; no se obtuvo una segunda muestra. A pesar de ello, el paciente ingresó a cargo del servicio de neurología, con antibioticoterapia por vía intravenosa empírica con ceftriaxona y vancomicina, así como cobertura antiherpética con aciclovir.
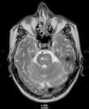
Durante su ingreso se realizó una segunda punción lumbar, obteniendo glucosa 56mg/dl, proteínas 68mg/dl y leucocitos 600/μl (90% polimorfonucleares, 10% linfocitos). Ante el hallazgo de pleiocitosis de predominio polimorfonuclear, se solicitó resonancia magnética (RMN) cerebral (fig. 1), que evidenció afectación de la protuberancia con extensión a pedúnculo cerebral izquierdo apareciendo isointenso en T1, hiperintenso en T2 (fig. 2) y flair, e hipointenso en IR T1.
Los estudios microbiológicos con tinción de Gram y Ziehl-Neelsen, cultivos del líquido cefalorraquídeo (incluido Lowenstein), proteína C reactiva para virus herpes, serología frente a Brucella y Borrelia fueron negativos. También se descartaron otras posibles causas dentro del diagnóstico diferencial etiológico, teniendo en cuenta el antecedente de inmunosupresión: virus varicela zóster, herpes virus, sífilis, citomegalovirus, Cándida y linfomatosis meníngeas.
Fue valorado por el servicio de neurología, que consideró la posibilidad diagnostica de neurobehçet, ante la persistencia de los síntomas pese al tratamiento antibiótico y los antecedentes clínicos del paciente, por lo cual se inició terapia con infliximab asociada a profilaxis antituberculosa con isoniacida previa suspensión del tratamiento antibiótico y la ciclosporina A, esta última por la relación descrita en la literatura de empeoramiento de las manifestaciones neurológicas3,4.
Como diagnóstico diferencial radiológico cabe señalar que, por su topografía y señal, imágenes similares pueden observarse en formas iniciales de esclerosis en placas y en la encefalopatía postinfecciosa. La romboencefalitis vírica formaría parte del mismo diferencial, pero se trata de una rara entidad en la cual la lesión es única, extensa y de predominio pontino. Dados los antecedentes, el contexto clínico y las pruebas complementarias permiten orientar el diagnóstico hacia el neurobehçet.
El paciente mostró mejoría clínica significativa, resolución de la cefalea y la rigidez nucal. Se realizó una punción lumbar de control 72 h tras el inicio del tratamiento, encontrando glucosa 52mg/dl, proteínas 48mg/dl y leucocitos 100/μl con predominio mononuclear.
Considerando los hallazgos radiológicos y la rápida mejoría clínica tras recibir terapia antifactor de necrosis tumoral5, se concluye que se trataba de un cuadro de meningitis aséptica por EB; el paciente fue dado de alta con prednisona a 1mg/kg/día, isoniazida-piridoxina, infliximab y azatioprina. La RMN cerebral control demostró ausencia de las lesiones descritas en estudio previo y en la actualidad el paciente no ha presentado recurrencia de afectación neurológica.
La afectación del sistema nervioso, central y/o periférico, ocurre en alrededor del 5-25% de los pacientes con EB. Es más frecuente en varones y suele manifestarse entre los 3 y 6 años siguientes al comienzo de la enfermedad. Su presentación como primera manifestación de la enfermedad es rara6,7.
La afectación del sistema nervioso central (SNC) es la más frecuente y existen 2 formas clínicas de presentación: la lesión parenquimatosa y la no parenquimatosa8. Esta diferenciación reviste importancia clínica, patológica, radiológica y pronostica puesto que la lesión parenquimatosa es la más prevalente (80% de los casos) y la de peor pronóstico9. La forma de presentación clínica es inespecífica y variada, incluyendo pérdida de conciencia, convulsiones, confusión, letargo, alteraciones psiquiátricas, cambios de personalidad, demencia10,11. A diferencia de los pacientes inmunosuprimidos sin EB, en los que la meningitis puede presentarse desde formas oligosintomáticas, subagudas, hasta alteraciones de pares craneales.
En el contexto de un paciente con EB que se presenta con manifestaciones neurológicas, el establecimiento del diagnóstico de neurobehçet debe estar sustentado en el estudio y la exclusión previa de otras causas. La presencia de signos de irritación meníngea es frecuente en la forma parenquimatosa de afectación del SNC; sin embargo; la presentación como meningitis aislada es bastante infrecuente. Resaltamos, por tanto, la importancia de descartar la etiología infecciosa, particularmente en pacientes en tratamiento inmunomodulador.
Se ha descrito una secuencia de hallazgos en RMN en relación con la evolución de la enfermedad; así, una fase inicial con áreas de hiperintensidad en T2 a nivel del tronco cerebral, ganglios basales y hemisferios cerebrales, seguida de una fase intermedia de edema con efecto de masa y microhemorragias, y una tercera de atrofia troncoencefálica12,13. En nuestro caso, no hubo evidencia clínica pero sí radiológica de afectación troncoencefálica, correspondiéndose los hallazgos descritos en nuestro paciente con cambios iniciales.
En concordancia con lo anterior, es conveniente realizar controles radiológicos con RMN para el seguimiento de las lesiones una vez iniciado el tratamiento, aunque estas pueden tardar meses o años en desaparecer14; en nuestro caso, pudimos verificar inicio de la resolución de las mismas tras 5 semanas de tratamiento con triple terapia inmunomoduladora.





