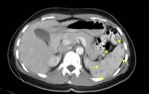
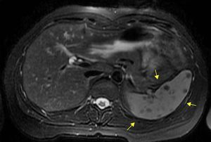
Mujer de 37 años de raza caucásica, sin antecedentes médicos de interés. Presentaba desde hacía años dolor en el epigastrio y el hipocondrio izquierdo punzante leve e intermitente diario, sin relación con la ingesta ni alteración del tránsito digestivo, con ausencia de otra sintomatología sistémica asociada. La exploración física era normal. Su estudio analítico mostró reactantes de fase aguda, frotis de sangre periférica, proteinograma y niveles de enzima convertidora de angiotensina normales; además de pruebas de autoinmunidad, serología infecciosa (incluyendo hidatidosis) y prueba de Mantoux negativos. Las radiografías de tórax y abdomen, el tránsito gastrointestinal y el electrocardiograma fueron normales. La ecografía abdominal y la tomografía computarizada toracoabdominal mostraron múltiples lesiones esplénicas de 7-9mm de diámetro sin esplenomegalia (fig. 1). La resonancia magnética abdominal mostró múltiples lesiones en el bazo, hipointensas en T2 e isointensas en T1, con realce homogéneo y tardío de contraste, con diámetro menor a 1cm (fig. 2). Ante la persistencia del dolor en hipocondrio izquierdo, así como incertidumbre diagnóstica, se decidió realizar esplenectomía laparoscópica. Macroscópicamente, el bazo presentaba múltiples nódulos externos e intraparenquimatosos de aspecto blanco-fibroso y con diámetro inferior a 1cm; negativos a pruebas microbiológicas, histológicamente compatibles con granulomas epitelioides no caseificantes (fig. 3). Tras la esplenectomía sin complicaciones, la paciente permaneció asintomática y sin tratamiento alguno en el seguimiento actual.
La sarcoidosis es una enfermedad granulomatosa multisistémica de etiología desconocida1. Más del 90% de los pacientes afectados presentan manifestaciones pulmonares en el momento del diagnóstico2. La afectación extrapulmonar multiorgánica es frecuente, observándose compromiso esplénico en un 10% en los estudios de imagen y hasta un 40% en autopsias3, siendo sintomático solo entre un 5-7%4. Sin embargo, dado que la afectación exclusivamente esplénica, como la que presentó nuestra paciente, es extraordinariamente infrecuente, consideramos relevante la presentación de este caso, ya que la correlación entre los hallazgos clínicos con los estudios de imagen y la documentación histológica ha sido escasamente referida en reportes previos5,6.
Responsabilidades éticasProtección de personas y animales. Los autores declaran que para esta investigación no se han realizado experimentos en seres humanos ni en animales.
Confidencialidad de los datos. Los autores declaran que han seguido los protocolos de su centro de trabajo sobre la publicación de datos de pacientes.
Derecho a la privacidad y consentimiento informado. Los autores declaran que en este artículo no aparecen datos de pacientes.
Conflicto de interesesLos autores declaran no tener ningún conflicto de intereses.






