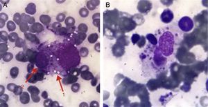
Varón de 83 años que ingresa en nuestro servicio por malestar general e hiperglucemia. Era diabético tipo 2, presentaba una cirrosis de origen enólico con varices esofágicas grado ii, sin episodios de descompensación hidrópica y fue diagnosticado 6 meses antes de polimialgia reumática; refiere un cuadro compatible con infección de vías respiratorias altas la semana previa al ingreso. En la radiografía de tórax se aprecia un aumento de la trama alveolointersticial sin claros infiltrados. En la analítica destacaba una pancitopenia, con plaquetas de 27.000l. Se solicitó una tomografía que mostraba un derrame pleural bilateral con infiltrados posteriores, y a nivel abdominal una imagen compatible con hemoperitono con rotura de bazo espontánea. Ante los hallazgos se solicitó estudio de anemia, en el que se objetivó una hemoglobina de 8,5mg/dl, una ferritina de 1.102ng/ml, una VSG de 75mm 1.ah y una hipertrigliceridemia de 270mg/dl. Se solicitó un aspirado medular con extensión de médula ósea con tinción de Wright. En la figura 1 se observa un histiocito con citoplasma vacuolado (flecha 1), fagocitando una célula hematopoyética (flecha 2-linfocito). También se aprecia un histiocito fagocitando diversas células hematopoyéticas, con restos de detritus celulares en su citoplasma. Con los hallazgos obtenidos la orientación diagnóstica fue de un síndrome hemofagocítico1,2 y se inició tratamiento con gammaglobulinas endovenosas. El paciente presentó buena respuesta clínica, con mejoría plaquetaria a la finalización del tratamiento (8.5000l).
Responsabilidades éticasProtección de personas y animalesLos autores declaran que para esta investigación no se han realizado experimentos en seres humanos ni en animales.
Confidencialidad de los datosLos autores declaran que en este artículo no aparecen datos de pacientes.
Derecho a la privacidad y consentimiento informadoLos autores declaran que en este artículo no aparecen datos de pacientes.
Conflicto de interesesLos autores declaran que no existe ningún conflicto de intereses.
Agradecimientos a la Dra. Pilar Brito-Zerón, del Servicio de Enfermedades Autoinmunes del Hospital Clínic; sin su ayuda este caso no habría llegado a buen puerto.




