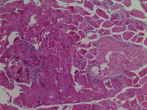
Paciente mujer de 13 años de edad, con cuadro de 15 días de evolución, con incapacidad para levantarse y subir escaleras, que presenta mialgias, disfagia a sólidos, edema de cara y brazos. El examen físico muestra debilidad por escala de Daniels, cervical 2/5, cintura escapular 3/5, cintura pélvica 2/5, macroglosia, con edema en cara y extremidades (fig. 1). La creatinfosfocinasa sérica era de 600 U/L (normal 38-174 U/L), deshidrogenasa láctica de 1.278 U/L (normal 120-300 U/L), ANA negativo, AST 88 U/L normal (10-35 U/L), ALT 31 U/L (normal 7-35 U/L), albúmina de 4,2 g/dL (normal 3,4-4,8 g/dL) y examen de orina normal. Biopsia muscular compatible con miositis (fig. 2). Electromiografía con patrón miopático. Serie esofagogastroduodenal con mecánica de la deglución alterada. Diagnóstico final de dermatomiositis juvenil (DMJ). Se inicia tratamiento con 5 pulsos de metilprednisolona (30mg/kg/día), posteriormente con 1mg/kg/día de prednisona, inmunoglobulina IV (2 g/kg/dosis total) y 11 dosis de ciclofosfamida mensual (1 g/m2 sc), descenso gradual de prednisona hasta 5mg/día. Al suspender la ciclofosfamida se inicia metotrexato (15mg semanales), ácido fólico y cloroquina. Estuvo con seguimiento por 3 años sin presentar nuevas recaídas.
La DMJ es una enfermedad inflamatoria sistémica generalizada asociada con cambios patognomónicos de la piel. El edema subcutáneo como presentación de la DMJ ha sido reportado en raras ocasiones e implica un curso agresivo de la enfermedad. La permeabilidad vascular excesiva en el músculo y el tejido subcutáneo como resultado del depósito de complejos inmunes, la activación del complemento y el daño del endotelio vascular que lleva a microinfartos musculares pueden contribuir a la presencia de edema1-3. Los casos de DMJ severos se asocian a la presencia temprana de edema subcutáneo en extremidades, relacionado con vasculopatía inflamatoria con estrechamiento u oclusión completa de la luz de las arterias medianas y pequeñas3. La ausencia de síndrome nefrótico, falla cardiaca, hipotiroidismo, enfermedad hepática y malignidad señala fuertemente que el edema está relacionado con la DMJ. Revisando los casos de DMJ asociados a edema generalizado se encontraron 19 casos, y se asoció con la presencia de debilidad muscular severa, úlceras gastrointestinales o cutáneas y pobre respuesta a esteroides2,4.
En la DMJ, el edema subcutáneo es un indicador de enfermedad severa, por lo que su presencia debe guiar a una terapia más intensiva para lograr el control rápido y adecuado de la enfermedad.
Responsabilidades éticasProtección de personas y animalesLos autores declaran que los procedimientos seguidos se conformaron a las normas éticas del comité de experimentación humana responsable y de acuerdo con la Asociación Médica Mundial y la Declaración de Helsinki.
Confidencialidad de los datosLos autores declaran que han seguido los protocolos de su centro de trabajo sobre la publicación de datos de pacientes.
Derecho a la privacidad y consentimiento informadoLos autores han obtenido el consentimiento informado de los pacientes o sujetos referidos en el artículo. Este documento obra en poder del autor de correspondencia.
Conflicto de interesesLos autores declaran no tener ningún conflicto de intereses.
La persona que escribió el manuscrito es Alfonso Ragnar Torres Jiménez.
 
										
				





 
 
		
