La sacroileitis cursa con dolor inflamatorio en la región lumbosacra y glútea. Cuando la afectación es bilateral, la causa más frecuente es la espondiloartritis. A veces nos podemos encontrar compromiso unilateral y, en este caso, debemos descartar otras causas menos frecuentes tales como infecciones o tumores, entre otras.
Se presenta el caso de un varón de 49 años, que consultó por dolor en nalga derecha desde hacía un año. Había sido valorado previamente en traumatología y rehabilitación, y aportaba gammagrafía ósea con tecnecio que informaba de hiperactividad difusa en sacroilíaca derecha compatible con sacroileitis.
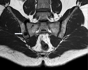
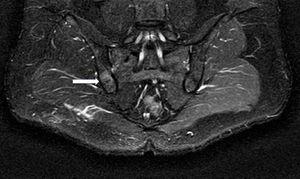
El paciente refería dolor en nalga derecha, que le despertaba por la noche, mejorando con antiinflamatorios no esteroideos (AINE). No había presentado ningún antecedente traumático, fiebre, artritis ni en la anamnesis aparecían datos relacionados con espondiloartritis o infecciones recientes. La exploración física era completamente normal, siendo las maniobras de sacroilíacas negativas (Fabere, apertura, cierre y Laguerre), y no presentando limitación funcional articular periférica ni axial. La exploración neurológica no reveló ningún dato patológico. La analítica realizada no presentaba alteraciones, con normalidad en los reactantes de fase aguda. En cuanto a las técnicas de imagen, en la radiografía simple de pelvis no se objetivaron alteraciones óseas evidentes, por lo que se solicitó resonancia magnética nuclear (RMN) de sacroilíacas, apreciándose área hipointensa en secuencia T1 (fig. 1) e hiperintensa en STIR (fig. 2) en borde ilíaco de sacroilíaca derecha, con zona central isointensa en T1 (fig. 1) e hipointensa en STIR (fig. 2), orientando hacia el diagnóstico definitivo de osteoma osteoide, que se confirmó mediante tomografía computarizada (TC). El paciente se trató mediante ablación por radiofrecuencia guiada por TC quedando asintomático.
El osteoma osteoide es un tumor óseo benigno que se localiza a nivel del fémur y de la tibia en un 50-60% de los casos y entre un 7-10% a nivel de la columna vertebral1. A nivel de la pelvis, como nuestro caso, es más raro. Es más frecuente en varones entre 10-30 años de edad. Típicamente presenta dolor nocturno y mejora con AINE2. El ritmo del dolor de este tipo de tumor óseo puede provocar confusión, como en nuestro caso, con determinadas enfermedades reumáticas inflamatorias, sobre todo dependiendo de la localización, lo que puede conllevar a un retraso en el diagnóstico. Aunque el osteoma osteoide es una enfermedad poco frecuente dentro del diagnóstico diferencial del dolor sacroilíaco, deberíamos tenerlo en cuenta cuando el dolor mejora con AINE, y en casos de pacientes jóvenes con dolor resistente al tratamiento convencional3.
La radiología simple no siempre muestra la imagen típica con el nidus, por lo que habría que recurrir a otras técnicas como RMN y/o TC (la RMN puede no ser de ayuda, siendo la TC la técnica de elección en este tipo de tumor), ya que la gammagrafía ósea tiene una alta sensibilidad, pero poca especificidad2. El tratamiento de ablación por radiofrecuencia guiada por TC es la técnica de elección debido a sus buenos resultados y por ser poco invasiva1.





