La gota es un desorden del metabolismo de las purinas que tiene como resultado el depósito de cristales de urato alrededor de las articulaciones1,2. La gota crónica se caracteriza por artritis destructiva, frecuentemente con cambios degenerativos, erosiones óseas y desarrollo de tofos. Los ataques agudos pueden llegar a ser poliarticulares, aditivos y ascendentes; con tendencia a aumentar la severidad3. Los tofos son una característica cardinal de esta entidad, su estructura está formada por un conglomerado de cristales de urato rodeados de fibrosis y tejido inflamatorio4.
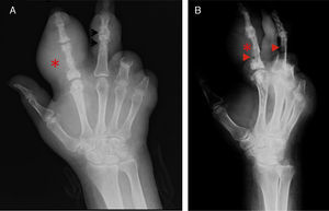
Caso clínicoVarón de 46 años de edad con antecedentes de hiperuricemia, amputación traumática del 4.° y 5.° dedos de la mano izquierda y gota tofácea crónica durante 8 meses automedicado con glucocorticoides. Fue ingresado con historia de 12 días de presentar aumento de volumen en segundo dedo mano izquierda, agregándose dolor, hiperemia y salida de material de aspecto purulento. A la exploración física se encontraron tofos en ambos codos, manos y pies en superficies extensoras y flexoras, el más grande abarcaba la totalidad del segundo dedo izquierdo (fig. 1). Al ingreso, los niveles de ácido úrico y cortisol fueron de 10,4mg/dl y 10,39mg/dl, respectivamente; la eTFG fue de 11,96ml/min3. El material exudativo encontrado en los tofos, mediante aspiración por aguja, fue analizado en microscopía con luz polarizada, revelando abundantes cristales de urato monosódico y escasos leucocitos (fig. 2). Los cultivos del aspirado se reportaron negativos para crecimiento bacteriano. En las radiografías de mano se observaron erosiones óseas típicas de gota (fig. 3).
A) Radiografía dorsopalmar de mano izquierda. B) Radiografía lateral de mano izquierda. En ambas se aprecia aumento de volumen en tejidos blandos en segundo y tercer dedo correspondientes con tofo (*), en los tejidos óseos resalta la presencia de erosiones en borde colgante (flechas), con pérdida de espacio articular.
Los cristales de urato monosódico desencadenan una respuesta inflamatoria intensa que puede perpetuarse con la presencia de estos. Este fenómeno inflamatorio es mediado por la liberación de citocinas, entre ellas: FNT, IL-6, y los ligandos de quimiocinas CXC1 y CXC85,6.
Su presencia se considera el estándar de oro para el diagnóstico7.
La presentación clásica de los ataques agudos es la de una artritis monoarticular autolimitada, con mayor frecuencia en la primera articulación metatarsofalángica7. En algunos casos, los grandes depósitos de urato pueden drenar un material calcáreo blanquecino que a menudo se confunde con el de un absceso drenado. Esto ha sido descrito principalmente en la bursa del olécranon o en el primer dedo del pie8.
Es frecuente que en esta presentación clínica los pacientes cursen con fiebre. Su identificación puede distinguirlo de otras enfermedades con similar cuadro clínico, por ejemplo las infecciosas, lo que resulta de vital importancia ya que el tratamiento y pronóstico son radicalmente distintos.
Responsabilidades éticasProtección de personas y animalesLos autores declaran que para esta investigación no se han realizado experimentos en seres humanos ni en animales.
Confidencialidad de los datosLos autores declaran que en este artículo no aparecen datos de pacientes.
Derecho a la privacidad y consentimiento informadoLos autores declaran que en este artículo no aparecen datos de pacientes.






