El tumor de células gigantes (TCG) es una neoplasia ósea primaria benigna de comportamiento localmente agresivo que raramente se localiza en la columna cervical y puede ser de potencial grave debido al riesgo de compromiso neurológico1. Algunos pacientes afectados pueden ser valorados inicialmente por el reumatólogo por cervicalgia, motivo por el cual se presenta este caso clínico.
Una paciente de 43años previamente sana consultó por dolor punzante en regiones occipital y cervical con parestesias asociadas en regiones suboccipital y retroauricular izquierdas (dermatomas C2-C3) de 9 meses de evolución. Recibió tratamiento con analgésicos, relajantes musculares y electroestimulación transcutánea sin notar mejoría. A la exploración presentaba limitación global de la movilidad cervical e hipoestesia en los dermatomas C2-C3 izquierdos. Las pruebas de laboratorio, incluyendo hemograma, bioquímica, reactantes de fase aguda (VSG 12mm/h, PCR 3,78mg/l) y metabolismo óseo (Ca 8,7mg/dl, P 3,2mg/dl, 25 OH-vitamina D 39ng/ml, paratohormona 44pg/ml), fueron normales. La radiografía lateral de la columna cervical (fig. 1A) reveló la presencia de una lesión lítica expansiva ocupando el cuerpo vertebral de C2. La tomografía computarizada (TC) confirmó que dicha lesión reemplazaba globalmente la medula ósea e interrumpía la cortical (fig. 1B y C). La lesión era hiperintensa, la secuencia T2 de la resonancia magnética (RM) reducía el calibre de ambos agujeros de conjunción C2-C3, mostraba áreas de necrosis, niveles líquido-líquido y realce periférico (fig. 1D y E). La paciente fue sometida a artrodesis C1-C2-C3 debido a la inestabilidad cervical causada por la lesión, que fue removida por vía transfaríngea y se rellenó el defecto con matriz ósea desmineralizada. El estudio histopatológico mostraba una proliferación de células mono y multinucleadas sin atipia nuclear, frecuentes cavidades llenas de hematíes y focos de neoformación ósea y depósito de osteoide. Dichos hallazgos fueron compatibles con TCG o quiste óseo aneurismático (QOA). El dolor y las parestesias mejoraron tras el procedimiento, pero dichos síntomas empeoraron a los 8 meses, evidenciándose recurrencia de la lesión por radiografía y TC, esta vez con masa retrofaríngea asociada. Se realizó nueva cirugía para extirpación de C2 por vía translabiomandibular y fusión occipitocervical. La histopatología confirmó que se trataba de un TCG con extensión a partes blandas circundantes (fig. 2). La paciente se recuperó satisfactoriamente tras el procedimiento y no ha presentado recurrencias o complicaciones tras un periodo de seguimiento de 21 meses.
Radiografía lateral de columna cervical (A) en la que se observa una lesión osteolítica expansiva en el cuerpo vertebral de C2 con insuflación de la cortical (flecha). Cortes sagital (B) y axial (C) de la TC de columna cervical en la que se evidencia que dicha lesión reemplaza globalmente la médula ósea (flecha) y rompe la cortical en la superficie posterolateral derecha del cuerpo vertebral (flecha). Cortes sagitales en las secuencias potenciadas en T2 (D) y T1-posgadolinio (E) de la RM de columna cervical que muestra una zona quística, necrosis y trabeculación. La lesión es marcadamente hiperintensa en T2 e hipointensa en T1, mostrando realce periférico tras la administración de gadolinio (flechas).
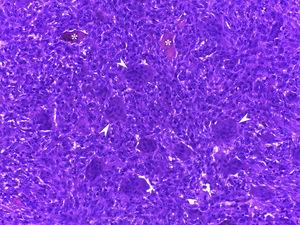
Histopatología de la lesión en el cuerpo vertebral de C2 demostrando que la médula ósea ha sido reemplazada por una proliferación de células mononucleares redondeadas o fusiformes y células gigantes multinucleadas tipo osteoclasto (cabezas de flecha). Se observan algunas trabéculas óseas residuales entre las células tumorales (asteriscos) (hematoxilina y eosina, aumento original 20×).
El TCG es una neoplasia benigna caracterizada por la presencia de células gigantes multinucleadas tipo osteoclasto CD68+, que representa el 4-5% del total de tumores óseos primarios2. Aunque puede ser localmente agresivo, raramente maligniza (aproximadamente 2%) y generalmente metastatiza a pulmón3. Ocurre con mayor frecuencia entre los 20-40años, ligeramente más en mujeres y muestra predilección por la región metafiso-epifisaria de huesos largos4. Afecta a la columna en el 2,7-6,5% de los casos, pero su localización cervical es rara1,5. Los síntomas más comunes son el dolor y la limitación de la movilidad, aunque el compromiso neurológico también es frecuente y ocurre hasta en un 70% de los casos1,5. El diagnóstico diferencial incluye otros tumores óseos con células gigantes como el QOA, quiste óseo simple, condroblastoma, osteoma osteoide, osteoblastoma, osteosarcoma, granuloma reparativo de células gigantes y tumores pardos del hiperparatiroidismo4,6. En este caso se descartó además la presencia de hiperparatiroidismo ya que se ha descrito la asociación del TCG con este trastorno, incluyendo casos con compromiso cervical7. Hasta un 14% de los TCG muestran componentes quísticos compatibles con un QOA secundario, pero esto ocurre con menor frecuencia a nivel cervical8. La presencia de osteólisis y trabeculaciones en las pruebas de imagen son sugestivas de TCG, pero el diagnóstico definitivo requiere la histopatología7. La RM tiene mayor sensibilidad para detectar componentes quísticos y niveles líquido-líquido7,9. El tratamiento es fundamentalmente quirúrgico, intentando la resección completa de la lesión cuando sea posible, especialmente si hay compromiso neurológico1,5,10. Sin embargo, las tasas de recidiva son altas (26-50%)10. Se han utilizado varias terapias adyuvantes en casos de recidiva o lesiones inoperables, incluyendo radioterapia, embolización arterial selectiva, crioterapia, coagulación con argón, bisfosfonatos, interferón α-2b y denosumab5,10.
En conclusión, aunque el TCG de la columna cervical es raro, debería ser tenido en cuenta en el diagnóstico diferencial en pacientes con cervicalgia y lesiones líticas vertebrales, especialmente cuando hay clínica neurológica asociada.





